3942
Views & Citations2942
Likes & Shares
Since first successful
kidney transplantation by Murray and colleagues in 1954, our understanding of
kidney transplantation has evolved considerably. However, the long-term graft
survival remains an enigma. Current Immunosuppressive therapy is a double edge
sword, preventing rejection but contributing to multiple side effects including
chronic graft dysfunction. The ideal immunosuppressive medicine remains
elusive. In carefully selected patients, mTOR-I particularly sirolimus can be
useful in improving long-term graft outcome. Unlike other immunosuppressive
drugs, sirolimus is more toxic but has antiviral and anti-neoplastic
properties. This review article is an effort to address the controversy and
define the utility of sirolimus according to the currently available
literature.
Keywords: Kidney transplant,
Immunosuppressive drugs, Sirolimus, mTOR-I, Chronic graft dysfunction, Acute
rejection
INTRODUCTION
Kidney transplantation remains the treatment of choice for most of the patients of end-stage renal disease [1]. There is a definitive improvement in the quality of life and reduction in mortality [2]. Kidney allograft has seen significant improvements in short-term graft survival however long-term outcome remains poor. Studies conducted in early to mid-1990s suggested that a fall in acute rejection will lead to augmented long-term graft survival, yet, since 1995, no significant improvement in long-term graft survival has been seen. Chronic allograft nephropathy (CAN) remains the most frequent cause of long-term graft failure after death with a functioning graft (Table 1). Generally, graft failure can be due to many reasons [3,4].
Non-immunological causes of graft loss
Late graft failure may be due de-novo or recurrent glomerular disease or age-related loss of nephron.
Graft Loss due to premature death
Sepsis, cardiovascular disease and malignancy remain the commonest causes of death in renal transplant recipients (Table 1). Immunosuppressive medications contribute significantly towards recipient’s mortality increasing risk of infection, malignancy, diabetes, hyperlipidaemia and atherosclerosis [3,5].
Chronic graft injury
It can be argued that long-term deterioration in renal function is partially due to the cumulative nephrotoxic effect of immunosuppressive medications and their inability to prevent chronic rejection [4].
It can be concluded that in most of the transplant recipients, many variables play their role simultaneously towards the long-term outcome of renal allograft. One of the most important modifiable factors having a considerable impact on long-term graft outcome remains the immunosuppressive regimen.
Data from Australia and New Zealand Dialysis and Transplant Registry shows that from 1995-2000, in deceased donor transplant recipients, 72% were alive 10 years after transplant. 20% of these had returned to dialysis. Hence only 59% were alive with working graft. The death rate was 2.5% per year in these patients. In Australia in 2010, 32% of deaths were due to malignancy, 23% were due to cardiovascular causes and 22% due to infection [4]. Figure 1 demonstrates the graft failure rate per person per year for all renal transplants in Australia and New Zealand. A gradual decline in graft function is seen with time, and the data shows the risk of graft failure increase substantially in recipients more than 10 years post-transplantation [6].
Currently, calcineurin inhibitors remain the mainstay of immunosuppressive protocols. As per KDIGO 2009 guidelines, maintenance immunosuppression should be calcineurin inhibitor (CNI) and mycophenolate with or without steroids. CNIs are known to cause up regulation of angiotensin, enhanced production of TGF-beta and osteopontin. Also, it causes intense glomerular vasoconstriction. These mechanisms explain interstitial fibrosis and tubular atrophy seen with long-term use of CNIs [7]. There have been no characteristic histological changes attributable to the chronic use of CNIs and chronic allograft nephropathy (CAN) is the term used to describe these changes. Histological changes characteristic of chronic allograft nephropathy can be seen in transplant kidneys of recipients who have not been exposed to CNIs [8]. When comparing biopsies from patients receiving CNIs with those receiving sirolimus, it was noted that CAN related changes are more common in patients on CNIs [7]. Hence it can be argued that the nephrotoxic effect of CNIs contribute to the gradual decline in renal function of kidney transplant recipients.
Sirolimus (Rapamune)
Sirolimus was the first compound discovered that inhibits mammalian target of rapamycin. It was identified in the 1970s in Easter Island (Rapa Nui). It has antifungal, anti-tumor and immunosuppressive effects [9,10]. mTOR-I exert their effect primarily on target of rapamycin-1 (TOR-1). This group includes sirolimus, everolimus and temsirolimus. Sirolimus is used routinely as antineoplastic and immunosuppressive medication in organ transplantation in the UK [11].
Mechanism
mTOR-I and tacrolimus act by initially binding FK binding protein (FKBP). CNI-FKBP complex then inhibits calcineurin. mTOR inhibitors do not inhibit calcineurin but act on the mammalian target of rapamycin, which is a key kinase. When inhibited, would result in blockade of cell proliferation in G1 to S phase [12]. The effect is seen in both hematopoietic and non-hemopoietic cells [7]. CNIs inhibit the production of cytokines. mTOR-I block the response to cytokines especially interleukin 2 (IL2) in B and T cells failing cell proliferation [12] (Figure 2).
Pharmacokinetics
Time to peak concentration of mTOR-I is 1-2 h. The mean bioavailability of sirolimus is variable. Oral solution has 14% and tablets have 27% bioavailability, respectively [13,14]. The rate and extent of oral absorption of sirolimus may be reduced in African ethnic population [15]. The maximum concentration of sirolimus (C max) decreases considerably with concomitant food intake. Sirolimus should be taken on an empty stomach. No such restriction is in place of everolimus [16].
Sirolimus is 97% bound to albumin. The highest concentration is found in red blood cells, up to 95% followed by plasma at 3%, lymphocytes 1% and granulocytes 1% [16-18]. For everolimus, plasma protein binding is 74% [19].
Metabolism
The drug has variable bioavailability. Sirolimus is counter transported in gut lumen via p-glycoprotein. Then it is metabolised in the liver by cytochrome P450 3A4. The extent of metabolism in the intestinal wall is unknown [14,20]. Due to its metabolism via cytochrome P450, drug interaction must be kept in mind. mTOR-I are mainly excreted in faeces and a small amount is excreted in urine [14]. The dose of sirolimus and everolimus should be reduced in hepatic dysfunction, infection and if a patient is on cytochrome P450 inhibitor [20].
Target trough levels
Target trough levels of sirolimus are 5-15 ng/ml in patients on cyclosporine and prednisolone. Levels higher than 15 ng/ml lead to elevated triglycerides, thrombocytopenia and leukopenia. Levels below 5 ng/ml are associated with acute rejection [18]. In patients on azathioprine and prednisolone, higher trough levels may be needed [21,22] (Table 2).
mTOR-I, although are less nephrotoxic than CNIs, remain poorly tolerated due to its side effects. mTOR-I have diverse effects leading to dermatological, hematological, metabolic, respiratory and renal toxicities. In a multi-centre phase II clinical trial on the role of temsirolimus in bladder cancer, the most frequent side effects included gastrointestinal tract (73.6%) followed by fatigue (62.3%), dermatological (43.4%), metabolic (35.8%) and hematological complications (30.2%). Infections were seen in 22.6% and pulmonary complications in 11.3% respectively [40].
Many of these effects might be related to drug doses, such as stomatitis (30-60%) and pneumonitis. However, others are idiosyncratic and unrelated to the duration of treatment [41]. Figures 3 and 4 demonstrate the features of sirolimus-induced mouth ulcers [42,43].
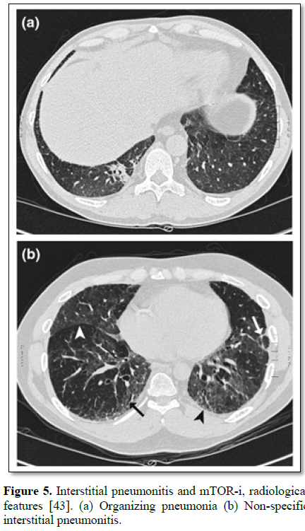
Interstitial pneumonitis (Figure 5) remains rare, but a potentially fatal complication of m-TOR I. In a case-cohort study [43], the incidence of m TOR related pneumonitis remained 12.7%. The pneumonitis is of two main types:
• Multifocal consolidation in the peri-bronchial or subpleural region, compatible with organising pneumonia (OP).
• Extensive bilateral ground glass appearance or airspace consolidation, suggestive of Non-specific interstitial pneumonitis (NSIP).
• Combination of the above.
In every patient, an infective cause should be included before making the diagnosis of drug-induced pneumonitis. Treatment includes cessation of mTOR-I and supportive therapy [43].
In a systematic review done by Lim et al. conversion from CNIs to m mTOR-I in renal transplant recipients due to adverse effects was 21.6% and 9.6%, respectively for mTOR-I and CNI respectively. Overall, the adverse events were more frequently recorded in patients on mTOR-I [44]. It is therefore important to educate patients about the potential toxicity of the drug and monitor drug adherence during follow up.
CURRENT AND HISTORIC EVIDENCE REGARDING SIROLIMUS
mTOR inhibitors have been evaluated in multiple trials. They have been used as a replacement or in combination with CNI-I and antimetabolites. There is no clear benefit of using mTOR-I over CNI-I as first line agent for maintenance immunosuppression. Recent KDIGO and NICE guidelines on kidney transplantation do not recommend mTOR inhibitors as first line immunosuppressive agent.
A systematic review in 2006 by Webster et al was done using Cochrane database, MEDLINE (1966-2005) and EMBASE (1980-2005). All randomized control trials and quasi randomized control trials with drugs containing mTOR inhibitors in immediate post-transplant period were included. m-TOR inhibitors were evaluated in following four algorithms.
● As replacement of CNI.
● As replacement of anti-metabolite.
● In combination with CNI in low and high dose.
● In combination with CNI in variable dose.
The results were conflicting. Graft survival favor mTOR, with minimal risk of rejection and high GFR. Patient outcome were worse with use of mTOR inhibitors. It was concluded that further studies are needed to determine long term effects of sirolimus in kidney transplantation [45].
In another systematic review by Knoll et al, mortality was compared in kidney and kidney and pancreas transplant recipients treated with and without sirolimus. Mortality was higher in sirolimus treated patients, secondary to increase in cardiovascular and infection related deaths (HR 1.43, 95% CI=1.021-1.71) [46].
A systematic review done by Lim et al. [44] in 2014, studied sirolimus in renal transplant recipients. They compared CNI continuation with conversion to mTOR inhibitors (CNI free regimen). Data base from 2000-2012 was included. There were 29 trials. Patients converted to mTOR inhibitors up to 1 year post transplantation had statistically significant higher GFR compared with those remaining on CNI. Incidence of CMV and skin cancer was low on mTOR inhibitors. However, risk of rejection was higher in patients on mTOR inhibitors. Discontinuation secondary to side effects was also higher in mTOR inhibitors. The authors concluded short term improvement in GFR with mTOR inhibitors but suggested the need to assess graft and patient survival in the long run [44].
Hence, the advantages of mTOR inhibitors identified in short term were higher GFR, low-risk of cancers and CMV infections. Disadvantages include higher rate of acute rejections, worse side effects profile and poor tolerability by the patients.
Sirolimus maintenance regimen study [47]
This study randomized patients into triple drug therapy including cyclosporine, sirolimus and steroids or to have cyclosporine withdrawal at 3 months post-transplant. Hyperlipidaemia, thrombocytopenia, hypokalaemia, abnormal liver function tests, abnormal wound healing, ileus and pneumonia was higher in sirolimus group. Hypertension, abnormal kidney function test, oedema, hyper-uricemia, cataracts, herpes zoster and malignancy were more common in cyclosporine continuation group. Data at 2 years confirmed cyclosporine withdrawal followed by sirolimus is associated with improvement in blood pressure and renal function when compared with cyclosporine without increased risk of graft loss or late acute rejection.
Orion study [48]
This study compared two sirolimus based immunosuppressive regimen. The first group was sirolimus and tacrolimus, with tacrolimus elimination in week 13. Group 3 was tacrolimus and MMF. Group 2 containing sirolimus and MMF had high biopsy proven acute rejections and was terminated early. Sirolimus based group had higher delayed wound healing and hyperlipidaemia. Malignancy rate was similar in both groups. It was concluded sirolimus, when compared with tacrolimus based regimen are not associated with improved outcomes in kidney transplantation.
Symphony study [49]
This study compared 4 immunosuppressive regimens in kidney transplantation. Induction was with daclizumab. Regimens included low dose tacrolimus, MMF and steroids, low dose sirolimus with MMF and steroids, low dose cyclosporine or standard dose cyclosporine with MMF and steroids. The MMF and low dose tacrolimus had highest graft survival rate and least acute rejection rate. Therefore, this trial failed to demonstrate superiority of sirolimus over tacrolimus.
Convert study [50]
This study compared efficacy and safety of converting CNI to sirolimus.839 renal transplant recipients were randomized to continue CNI or convert to sirolimus 6-120 months post renal transplantation. GFR was higher in sirolimus converted group, rejection, patient survival and graft survival were similar in both groups. The benefit of conversion was seen in patients with GFR > 40 ml/min and urine protein creatinine ratio of less than or equal to 0.11. This study proved conversion from CNI to sirolimus based regimen is associated with improved GFR at two years post transplantation.
Concept study [51]
In this study patients were randomized into cyclosporine or converted to sirolimus 3 months after transplantation. Patient and graft survival was not statistically different. Side effects were higher in sirolimus group (n=95). 16 patients discontinued sirolimus due to side effects. GFR was significantly better in sirolimus group compared with cyclosporine group. The authors concluded conversion of cyclosporine to sirolimus 3 months after transplantation combined with MMF is associated with improved renal function.
Spare the nephron study [52]
Patients were randomized in MMF and sirolimus or MMF and CNI immunosuppression. This was done to assess suitability of CNI free immunosuppression. The authors concluded that a 2 years regimen of MMF and sirolimus resulted in similar renal function compared with CNI MMF regimen with a trend towards fewer deaths; fewer graft loss and less rejection. This trial favored sirolimus over tacrolimus. There seems to be a benefit in converting patient from CNI based immunosuppression to sirolimus. However, risk of rejection is higher for CNI free immunosuppression regimen.
There are therefore several limitations in terms of using m TOR-i. Sirolimus remains poorly tolerated drug due to its side effect profile. It cannot be started immediately after transplant due to detrimental effects on wound healing. As demonstrated by Convert trial, 45 the advantage of starting mTOR inhibitors when GFR has fallen below 40 ml/min and urine protein creatinine ratio is >0.11 offsets the benefits of sirolimus, further limiting the therapeutic window. In young patients of child bearing age, effects on fertility and contraception are other crucial factors to consider. In carefully selected patients, potential benefits of Sirolimus include better graft function and reduced proteinuria. Sirolimus might be of advantage in reducing risk of cancer and viral infection. Studies evaluating long term effects of sirolimus on renal allograft and patient mortality are lacking [6].
Campath, calcineurin inhibitor reduction and chronic allograft nephropathy (the 3C study) - Results of a randomised control trial [53]
This trial randomised recipients between alemtuzumab and basiliximab inductions regimens and tacrolimus and sirolimus maintenance regimen at 6 months post transplantation. Primary outcome was graft function and biopsy proven risk of rejection. In 18 months follow up, the risk of rejection was 3% in tacrolimus group and 14.7% in sirolimus group (p<0.001).The baseline adjusted mean GFR was 54.6 ml/min/1.73 m2 in tacrolimus group and 53.7 ml/min/1.73 m2.The authors concluded that compared with tacrolimus, sirolimus does not improves GFR and is associated with higher risk of rejection irrespective of induction agent used. The authors did not find any reduction risk of malignancy and viral infection however the follow up period was only 18 months.
GUIDELINES IN RENAL TRANSPLANTATION WITH REGARDS TO MTOR INHIBITORS
National institute of clinical excellence guidelines regarding renal transplantation recommend sirolimus when CNI cannot be used. This is when there is proven intolerance to CNIs. Sirolimus with corticosteroids are recommended in such situation. NICE also suggest a need for RCT to compare sirolimus with corticosteroids after initial treatment period, MMF with steroids after initial treatment period and standard CNI based triple therapy. The guidelines are from 2004.
Following are the excerpt from 2009 KDIGO guidelines relevant to Sirolimus.
● If mTOR inhibitors are used, they should not be started until graft function is established and surgical wounds have healed (2B).
● mTOR inhibitors blood levels should be monitored (2C).
● In patients with declining kidney function, biopsy should be done in all. (1C). In patients with chronic allograft injury and histological evidence of CNI toxicity, reducing, replacing or withdrawing of CNI is recommended (2C).
● For patients with chronic allograft injury (CAI), GFR of >40 ml/min/1.73 m2, and urine total protein excretion of <500 mg per gram creatinine, we suggest replacing CNI with mTOR inhibitor. (2D)
● All patients post renal transplant should be screened for diabetes. Fasting glucose, oral glucose tolerance test and Hb1AC should be done on starting or substantially increasing CNI, steroids or mTOR inhibitors.
● Patients with kidney transplant who develop cancer, consideration should be given in reducing immunosuppression.
● In patients with Kaposi sarcoma, mTOR inhibitors should be started and immunosuppression should be reduced.
● mTOR inhibitors should be discontinued or replaced before pregnancy is attempted.
● Male patients should consider avoiding mTOR to preserve fertility or banking sperms before starting mTOR use.
Role of sirolimus in patients intolerant to mycophenolate mofetil (MMF)
In patients who are intolerant to MMF or mycophenolic acid (MPA), mTOR inhibitors can be used. A study done by Balda et al concluded that in patients who are intolerant to MMF or MPA, everolimus can be used with CNI inhibitors without any significant increase in rejection and stable graft function [54].
Role of sirolimus in acute rejection
KDIGO and NICE guidelines do not recommend sirolimus in acute rejection. A study by Hong and colleagues has suggested sirolimus in patients who develop vascular rejection on CNI or after administration of recombinant anti thymocyte globulin (rATG). This study was done from 1994-1999, included only 24 patients with proven rejection and involved recipients on cyclosporine [55]. Therefore, the evidence is not strong enough to make a recommendation.
Role of sirolimus in chronic allograft nephropathy (CAN)
CNI withdrawal must be accompanied by introduction of alternative immunosuppressive agents. As discussed above, CONVERT Trial suggest conversion to sirolimus in patients with significant renal impairment (i.e., serum creatinine>220 mol/L; eGFR<40 mis/min) or significant proteinuria (>800 mg/day; PCR>80 mg/mmol)) is unlikely to prevent on-going allograft failure. Therefore, conversion to sirolimus should be undertaken before significant renal impairment develops. If patient has proteinuria, we consider starting ACE-i/ARB prior to conversion and titrate dose to maximum tolerated. When commencing sirolimus, close monitoring is needed in the initial phase to exclude any rejection. In our experience, investigations to monitor graft functions are done after two days which appears to be reasonable to assess change in graft function. Patients are warned about potential side effects such as mucositis and fertility related issues. Patient education and close clinical follow up is needed in these patients.
Role of sirolimus in malignancy
mTOR inhibitors have anti neoplastic properties. It has been used in renal cell cancer, endometrial cancer and mantle cell lymphoma [56]. Many trials have shown reduced incidence of malignancy in patients on sirolimus post transplantation. This includes CONCEPT study, CONVERT trial and TUMORAPA study. Non-melanoma skin cancer (squamous and basal cell carcinoma) is very common in renal transplant patients, up to 70% after 20 years of continuous immunosuppressive therapy. Sirolimus prevents tumor growth and limit production of vascular endothelial growth factor (VEGF) limiting neovascularization [57]. However, KDIGO guidelines suggest sirolimus only in cases of Kaposi sarcoma. The evidence to suggest Sirolimus in call cases of malignancy is still lacking. It can be argued that although mTOR-I has antineoplastic effects, the evidence to make a recommendation in transplant recipient with malignancy is lacking. Every patient should be individually assessed and informed about the pros and cons of using sirolimus.
IMPORTANT CONSIDERATIONS
● Female patients should avoid pregnancy and men should be aware of oligospermia as described earlier in side effects related to sirolimus.
● Since sirolimus is associated with poor wound healing, for elective surgery sirolimus should be converted to an alternate immunosuppressant such as CNIs to avoid potential complications.
● We aim target trough range 5-15 ng/ml in patients on additional immunosuppressive medications. However, when a patient is receiving a combination of prednisolone and MMF, our target trough level is 5-10 ng/largest level should be tailored to the individual based on clinical need and tolerance to side effects.
CONCLUSION
Current immunosuppressive medications have limited efficacy in prolonging long-term graft survival. With regards to immunosuppression, options are limited. mTOR inhibitors were introduced in 1999 and have shown some promise in improving graft function in short term however poor tolerability and increased risk of rejection limits its use. In addition, studies on long term effects of sirolimus on renal allograft are lacking. At present, mTOR inhibitors remain a valid option for recipients with CNI toxicity and chronic allograft nephropathy. In addition, due to its antineoplastic properties, it remains a potential choice for patients with malignant or pre malignant lesions although evidence in this regard is lacking. Clinicians must use this medicine carefully since it is poorly tolerated, can worsen proteinuria and graft function, impairs wound healing, reduces fertility and has narrow therapeutic window. However, in carefully selected recipients, Sirolimus can prolong graft survival and remains a valid option.
1. Suthanthiran M, Strom TB (1994) Renal transplantation. N Engl J Med 331: 365-376.
2. Schnuelle P, Lorenz D, Trede M, van der Woude FJ (1998) Impact of renal cadaveric transplantation on survival in end-stage renal failure: Evidence for reduced mortality risk compared with haemodialysis during long-term follow-up. J Am Soc Nephrol 9: 2135-2141.
3. Lai X, Chen G, Qiu J, Wang C, Chen L (2014) Recipient-related risk factors for graft failure and death in elderly kidney transplant recipients. PLoS One 9: e112938.
4. Salvadori M, Bertoni E (2013) Is it time to give up calcineurin inhibitors in kidney transplantation? World J Transplant 3: 7-25.
5. Gallagher M, Jardine M, Perkovic V, Cass A, McDonald S, et al. (2009) Cyclosporine withdrawal improves long term graft survival in renal transplantation. Transplantation 87: 1877-1883.
6. Russ GR (2013) Optimising the use of mTOR inhibitors in renal transplantation. Transplant Res 2: S4.
7. Cecka JM, Rajalingam R, Zhang J (2010) Immunosuppressive medications and protocols for kidney transplantation. In: Danovitch GM (eds.) Handbook of Kidney Transplantation. 5th Edn. Philadelphia: Lippincott Williams & Wilkins, pp: 77-127.
8. Scanoudj R, Royal R, Elie C, Rabant M, Giardin C, et al. (2011) Specificity of histological markers of long-term CNI nephrotoxicity in kidney-transplant recipients under low dose cyclosporine therapy. Am J Transplant 11: 2635-2648.
9. Benjamin D, Colombi M, Moroni C, Hall MN (2011) Rapamycin passes the torch: A new generation of mTOR inhibitors. Nat Rev Drug Discov 10: 868-880.
10. English J, Evan A, Houghton DC, Bennett WM (1987) Cyclosporine-induced acute renal dysfunction in the rat. Evidence of arteriolar vasoconstriction with preservation of tubular function. Transplantation 44: 135-141.
11. Kajiwara M, Satohiro M (2016) Role of mTOR inhibitors in kidney diseases. Int J Mol Sci 17: 975.
12. Kelly PA, Gruber SA, Behbod F, Kahan BD (1997) Sirolimus, a new potent immunosuppressive agent. Pharmacotherapy 17: 1148.
13. Wu FL, Tsai MK, Sun SW, Chen RR, Huang JD, et al. (2005) Effects of conversion from sirolimus oral solution to tablets in stable Taiwanese renal transplant recipients. J Formos Med Assoc 104: 22-28.
14. (2006) Product information: Rapamune (sirolimus) oral solutions and tablets. Philadelphia, PA: Wyeth Laboratories, Division of Wyeth-Ayerst Pharmaceuticals Inc.
15. Zimmermann JJ, Kahan BD (1997) Pharmacokinetics of sirolimus in stable renal transplant patients after multiple oral dose administration. J Clin Pharmacol 37: 405.
16. Kahan BD, Napoli KL (1998) Role of therapeutic drug monitoring of rapamycin. Transplant Proc 30: 2189.
17. Ferron GM, Mishina EV, Zimmerman JJ, Jusko WJ (1997) Population pharmacokinetics of sirolimus in kidney transplant patients. Clin Pharmacol Ther 61: 416.
18. Yatscoff R, LeGatt D, Keenan R, Chackowsky P (1993) Blood distribution of rapamycin. Transplantation 56: 1202.
19. (2010) Product information: Zortress (everolimus) tablets. East Hanover, NJ: Novartis Pharmaceutical Corporation.
20. Hardinger KL, Koch MJ, Brennan DC (2004) Current and future immunosuppressive strategies in renal transplantation. Pharmacotherapy 24: 1159.
21. Groth CG, Bäckman L, Morales JM, Calne R, Kreis H, et al. (1999) Sirolimus (rapamycin)-based therapy in human renal transplantation: Similar efficacy and different toxicity compared with cyclosporine. Sirolimus European Renal Transplant Study Group. Transplantation 67: 1036.
22. Kreis H, Cisterne JM, Land W, Wramner L, Squifflet JP, et al. (2000) Sirolimus in association with mycophenolate mofetil induction for the prevention of acute graft rejection in renal allograft recipients. Transplantation 69: 1252.
23. Augustine JJ, Knauss TC, Schulak JA, Bodziak KA, Siegel C, et al. (2004) Comparative effects of sirolimus and mycophenolate mofetil on erythropoiesis in kidney transplant patients. Am J Transplant 4: 2001.
24. Grinyó JM, Cruzado JM (2006) Mycophenolate mofetil and sirolimus combination in renal transplantation. Am J Transplant 6: 1991.
25. Murgia MG, Jordan S, Kahan BD (1996) The side effect profile of sirolimus: A phase I study in quiescent cyclosporine-prednisone-treated renal transplant patients. Kidney Int 49: 209.
26. Fortin MC, Raymond MA, Madore F, Fugère JA, Pâquet M, et al. (2004) Increased risk of thrombotic microangiopathy in patients receiving a cyclosporine-sirolimus combination. Am J Transplant 4: 946.
27. Euvrard S, Morelon E, Rostaing L, Groffin E, Brocard A, et al. (2012) Sirolimus and secondary skin-cancer prevention in kidney transplantation. N Engl J Med 367: 329.
28. Sulanc E, Lane JT, Puumala SE, Groggel GC, Wrenshall LE, et al. (2005) New-onset diabetes after kidney transplantation: An application of 2003 International Guidelines. Transplantation 80: 945.
29. Weiner SM, Sellin L, Vonend O, Schenker P, Buchner NJ, et al. (2007) Pneumonitis associated with sirolimus: Clinical characteristics, risk factors and outcome--a single-centre experience and review of the literature. Nephrol Dial Transplant 22: 3631.
30. Izzedine H, Brocheriou I, Frances C (2005) Post-transplantation proteinuria and sirolimus. N Engl J Med 353: 2088.
31. Letavernier E, Bruneval P, Mandet C, Duong Van Huyen JP, Péraldi MN, et al. (2007) High sirolimus levels may induce focal segmental glomerulosclerosis de novo. Clin J Am Soc Nephrol 2: 326.
32. Straathof-Galema L, Wetzels JF, Dijkman HB, Steenbergen EJ, Hilbrands LB (2006) Sirolimus-associated heavy proteinuria in a renal transplant recipient: Evidence for a tubular mechanism. Am J Transplant 6: 429.
33. EBPG (2002) Expert Group on Renal Transplantation. European best practice guidelines for renal transplantation. Section IV: Long-term management of the transplant recipient. IV.10. Pregnancy in renal transplant recipients. Nephrol Dial Transplant 17: 50.
34. Zuber J, Anglicheau D, Elie C, Bererhi L, Timsit MO, et al. (2008) Sirolimus may reduce fertility in male renal transplant recipients. Am J Transplant 8: 1471.
35. Hardinger KL, Cornelius LA, Trulock EP 3rd, Brennan DC (2002) Sirolimus-induced leukocytoclastic vasculitis. Transplantation 74: 739.
36. Pasqualotto AC, Bianco PD, Sukiennik TC, Furian R, Garcia VD (2004) Sirolimus-induced leukocytoclastic vasculitis: The second case reported. Am J Transplant 4: 1549.
37. Stallone G, Infante B, Di Paolo S, Schena A, Grandaliano G, et al. (2004) Sirolimus and angiotensin-converting enzyme inhibitors together induce tongue oedema in renal transplant recipients. Nephrol Dial Transplant 19: 2906.
38. Duerr M, Glander P, Diekmann F, Dragun D, Neumayer HH, et al. (2010) Increased incidence of angioedema with ACE inhibitors in combination with mTOR inhibitors in kidney transplant recipients. Clin J Am Soc Nephrol 5: 703.
39. Mahé E, Morelon E, Lechaton S, Sang KH, Mansouri R, et al. (2005) Cutaneous adverse events in renal transplant recipients receiving sirolimus-based therapy. Transplantation 79: 476.
40. Pulido M, Roubaud G, Cazeau AL, Mahammedi H, Vedrine L, et al. (2018) Safety and efficacy of temsirolimus as second line treatment for patients with recurrent bladder cancer. BMC Cancer 18: 194.
41. Barra F, Ferrero S (2018) mTOR inhibitors for the treatment of endometriosis. Geburtshilfe Frauenheilkd 78: 283-284.
42. Villa A, Aboalela A, Luskin KA, Cutler CS, Sonis ST, et al. (2015) Mammalian target of rapamycin inhibitor-associated stomatitis in hematopoietic stem cell transplantation patients receiving sirolimus prophylaxis for graft-versus-host disease. Biol Blood Marrow Transplant 21: 503-508.
43. Bass MC, Struijk GH, Moes DR, van den Berk IA, Jonkers RE, et al. (2014) Interstitial pneumonitis caused by everolimus: A case-cohort study in renal transplant recipients. Transpl Int 27: 428-436.
44. Lim WH, Eris J, Kanellis J, Pussell B, Wiid Z, et al. (2014) A systematic review of conversion from calcineurin inhibitor to mammalian target of rapamycin inhibitors for maintenance immunosuppression in kidney transplant recipients. Am J Transplant 14: 2106-2119.
45. Webster AC, Lee VW, Chapman JR, Craig JC (2006) Target of rapamycin inhibitors (TOR-I; sirolimus and everolimus) for primary immunosuppression in kidney transplant recipients. Cochrane Database Syst Rev CD004290.
46. Knoll GA, Kokolo MB, Mallick R, Beck A, Buenaventura CD, et al. (2014) Effect of sirolimus on malignancy and survival after kidney transplantation: systematic review and meta-analysis of individual patient data. BMJ 349: g6679.
47. Oberbauer R, Kreis H, Johnson RW, Mota A, Claesson K, et al. (2003) Long-term improvement in renal function with sirolimus after early cyclosporine withdrawal in renal transplant recipients: 2 year results of the Rapamune Maintenance Regimen Study. Transplantation 76: 364-370.
48. Flechner SM, Glyda M, Cockfield S, Grinyó J, Legendre Ch, et al. (2012) The ORION study: comparison of two sirolimus-based regimens versus tacrolimus and mycophenolate mofetil in renal allograft recipients. Am J Transplant 12: 268.
49. Ekberg H, Bernasconi C, Tedesco-Silva H, Vítko S, Hugo C, et al. (2009) Calcineurin inhibitor minimization in the Symphony study: Observational results 3 years after transplantation. Am J Transplant 9: 1876-1885.
50. Schena FP, Pascoe MD, Alberu J, del Carmen Rial M, Oberbauer R, et al. (2009) Conversion from calcineurin inhibitors to sirolimus maintenance therapy in renal allograft recipients: 24 month efficacy and safety results from the CONVERT trial. Transplantation 87: 233-242.
51. Lebranchu Y, Thierry A, Toupance O, Westeel PF, Etienne I, et al. (2009) Efficacy on renal function of early conversion from cyclosporine to sirolimus 3 months after renal transplantation: Concept study. Am J Transplant 9: 1115-1123.
52. Weir MR, Mulgaonkar S, Chan L, Shidban H, Waid TH, et al. (2011) Mycophenolate mofetil-based immunosuppression with sirolimus in renal transplantation: A randomized, controlled Spare-the-Nephron trial. Kidney Int 79: 897-907.
53. Emberson J, Judge PK, Storey BC (2018) Campath, calcineurin inhibitor reduction, and chronic allograft nephropathy (the 3C Study) - Results of a randomised control trial. Am J Transplant 18: 1424-1434.
54. Balda S, Inza A, Odriozola N, Zárraga S, García-Erauskin G, et al. (2009) Combination of everolimus and tacrolimus in kidney transplant patients with intolerance to mycophenolate mofetil/mycophenolic acid. Transplant Proc 41: 2095-2098.
55. Hong JC, Kahan BD (2001) Sirolimus rescue therapy for refractory rejection in renal transplantation. Transplantation 71: 1579.
56. Faivre S, Kroemer G, Raymond E (2006) Current development of mTOR inhibitors as anticancer agents. Nat Rev Drug Discov 5: 671-688.
57. Mangino M, Schena FP (2010) Skin cancer in renal transplant recipients. G Ital Nefrol 27: S75-80.
QUICK LINKS
- SUBMIT MANUSCRIPT
- RECOMMEND THE JOURNAL
-
SUBSCRIBE FOR ALERTS
RELATED JOURNALS
- Journal of Immunology Research and Therapy (ISSN:2472-727X)
- Dermatology Clinics and Research (ISSN:2380-5609)
- Journal of Forensic Research and Criminal Investigation (ISSN: 2640-0846)
- International Journal of Surgery and Invasive Procedures (ISSN:2640-0820)
- Journal of Cardiology and Diagnostics Research (ISSN:2639-4634)
- Stem Cell Research and Therapeutics (ISSN:2474-4646)
- Journal of Alcoholism Clinical Research






