Research Article
Molecular and Biochemical Aspects of Interleukin-10 in Chronic Cervical Spondylitis: A Pilot Study at Tertiary Care Institute of India
4362
Views & Citations3362
Likes & Shares
Chronic cervical spondylitis (CCS) a common chronic condition with pain and inflammation, affecting vertebral, intervertebral discs and quality of life. In many autoimmune diseases, including seronegative spondyloarthropathies, Interleukin-10 (IL10) that represents a potent anti-inflammatory cytokine that responds during inflammatory mechanisms had evidenced genetic polymorphisms of IL10 promoter region However literature search showed discrepancies in IL-10 polymorphism in inflammatory conditions of Rheumatoid arthritis and Ankylosing spondylitis. Further no study was found in relation to CCS, hence, present pilot study was planned and analyzed molecular and biochemical aspects of IL-10 in CCS patients, who attended Neurosurgery department of tertiary care institute AIIMS Rishikesh. Total 106 subjects participated in the study which included 53 CCS cases based on clinico-radiological evidences, and 53 volunteers as healthy controls. Molecular aspect was assessed by Single Nucleotide Polymorphisms (SNPs) and haplotypes of IL-10 at -819C/T gene promoter site using polymerase chain reaction-restriction fragment length polymorphism (PCR-RFLP). Biochemical aspect was analyzed by estimation of serum levels of IL-10 with ELISA. Study results when compared and correlated showed no statistical associations at molecular and biochemical level for IL-10 in cases of CCS and healthy controls. SNP analysis of IL-10 depicted no statistical significance in genotypic frequency of -819C/T(OR=0.918, 95% CI (0.24-3.4), p-value=0.89) with cases and controls. Serum IL-10 levels between CCS cases and controls showed no statistically significant difference when compared and correlated (1.78 pg/ml vs. 1.65pg/ml, p-value>0.05). Thus, present study concludes that results of IL-10 -819C/T gene polymorphism and biochemical analysis had no statistically significant associations with susceptibility of CCS in studied subjects for etiological, diagnostic and prognostic implications. We further put forward future prospects to analyze other genes of inflammatory and pro-inflammatory markers at molecular and biochemical levels including large sample size for validation and confirmation of biochemical and genetic correlationship in CCS for screening, diagnostic and prognostic potencies.
Keywords: Chronic cervical spondylitis, Polymorphism, Interleukin-10, RFLP, Molecular-biochemical analysis
Abbreviations: PCR-RFLP: Polymerase chain reaction-restriction fragment length polymorphism; ELISA: Enzyme linked immuno sorbent assay; SNP: Single nucleotide polymorphism; IL-10: Interleukin-10; CCS: Chronic cervical spondylitis; AS: Ankylosing spondylitis; TNF alpha: Tumor necrosis factor alpha; IFN gamma: Interferon gamma; IL 1: Interleukin 1; Th1 cells: T helper 1 cells; BAL: Broncho alveolar lavage
INTRODUCTION
Chronic Cervical spondylitis (CCS) is a common chronic condition of neck involved with vertebral bodies, intervertebral discs and adjacent ligaments. CCS associated symptoms have a postural or mechanical basis with numbness, weakness, tingling, pain in neck or arms, neck stiffness and headaches. Etiological factors are poorly understood and are usually multifactorial, including poor posture, anxiety, depression, neck strain, due to sports or occupational activities. Patients who suffered with chronic cervical spondylitis has a poor quality of life with increased economic burden caused during management.
80-90% of people over an age of 50 years have radiological evidences of degenerative changes in cervical spine, majority of these individuals are asymptomatic [1]. In individuals younger than forty years of age at least 25% have some degree of degeneration [2]. The prevalence of cervical spondylitis is similar for both sexes, although degree of severity is greater for males [3].
The etiology of cervical spondylitis is unknown, but cytokines are implicated in the progression of cervical spondylitis. Cytokines are important immune response modulators produced by immune cells upon stimulation. The studies on spondylitis susceptibility and severity suggests that cytokines act as a modifier of genes [4-8]. Cytokine genes are highly polymorphic. Since polymorphisms are frequently present in the region of DNA that regulate transcription and posttranslational events, they may bring about functionally different gene products. There are certain cytokines that may be implicated with cervical spondylitis, for example TNF ɑ, IL-1, IFN ү, IL-10. IL-10, is an anti-inflammatory cytokine that has been shown to influence both the pattern and susceptibility of various diseases.
IL-10 is a 36 kDa homodimeric cytokine that was described as (CSIF) cytokine synthesis inhibiting factor because of its ability to inhibit the cytokine secretion from T helper1 cells (Th1 cells). This potent anti-inflammatory cytokine which controls the host immune response to inflammatory stimuli thereby preventing damage to host and maintaining normal tissue homeostasis by regulating and suppression of proinflammatory cytokines by activating Jak-STAT signaling pathway. Hence, plays an important role in preventing inflammatory and autoimmune pathologies by regulating immune responses.
Literature search showed a research study conducted on Chinese population with Ankylosing Spondylitis for IL-10 gene polymorphism of -1082A, -819T and -592A gene loci, where with frequencies of -1082 AG and -819 CC genotypes were significantly increased in AS patients [9]. Study of Lapadula et al. [10] found out that there were significantly low serum IL-10 levels in Rheumatoid arthritis (RA) patients compared to healthy controls showing decreased IL-10 production in RA [10]. However, these studies show variations in their results, further literature showed no study with IL-10 gene polymorphism in Cervical Spondylitis.
Based on these facts and figures we hypothesized, that IL-10 polymorphism could play a role in pathogenesis of cervical spondylitis, molecular and biochemical correlationship of IL-10 in cervical chronic spondylitis might give diagnostic and prognostic potencies. Hence present study was conducted and investigated the molecular aspects of IL-10 polymorphism and biochemical estimations of serum IL10 and their correlation in chronic cervical spondylitis in population of North India attending Neurosurgery department of tertiary care unit which was not explored before.
MATERIALS & METHODS
This was a hospital based, observational analytical pilot study conducted in department of Biochemistry, in collaboration with Neurosurgery at AIIMS Rishikesh in 2019. The sample size was achieved by documenting odds ratio as 3.125 in a study among Ankylosing spondylitis patients with proportion of 51.7% Interleukin-10 polymorphism in control group [9]. Considering the same with 95% confidence level and desired power as 80%. The sample size was calculated using the sample size calculator from UCSF (University of California, San Francisco http://www.sample-size.net/sample-size-means/). The total sample size calculated was 106, which included 53 Chronic Cervical Spondylitis cases and 53 healthy controls. An ethical clearance was obtained by an institutional ethics committee (AIIMS/IEC/18/90). Subjects were enrolled in study after getting written consents. Fifty-three study subjects with chronic cervical spondylitis (CCS) were included by clinician of Neurosurgery department after thorough examination with clinico-radiological confirmations and fulfillment of all inclusion and following exclusion criteria with cases of Rheumatoid arthritis, Ankylosing spondylitis, Sero-negative arthritis and other inflammatory conditions. Fifty-three age and sex matched healthy volunteers as controls were recruited to compare and correlate with CCS.
5 ml intravenous blood with aseptic precautions was collected from both cases and control in specific (EDTA and Plain) vacutainers for assessment of molecular gene polymorphism and estimation of serum IL-10 levels. Genomic DNA was extracted from EDTA-anticoagulated peripheral blood using the Qiagen (Germany) genomic DNA purification kit according to the manufacturer’s instructions. IL-10 -819C/T genotype were determined using a polymerase chain reaction-restriction fragment length polymorphism (PCR-RFLP) method and PCR primers were designed by primer 3 software.
Forward primer: 5’GAC TCC AGC CAC AGA AGC TTA C 3’
Reverse primer: 5’ AGG TCT CTG GGC CTT AGT 3’
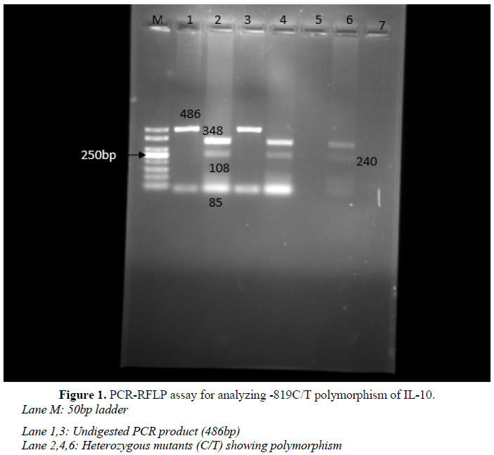
PCR conditions were initial denaturation at 95 C for 5 min, followed by 35 cycles of denaturation at 95 C for 30 s, annealing at 55 C for 15 s, Extension at 72 C for 30 s, with 1 cycle of prolonged extension at 72 C for 10 min. PCR products were 486 bp and digested with 1 µl of restriction enzyme (RsaI) at 37 C for 4 h. Digestion fragments of 240bp+108bp+85bp+42bp+8bp and after C/T 348+85+42+8bp fragments were visualized by electrophoresis on a 2% agarose gel stained with 0.1% ethidium bromide.
Serum levels of Interleukin 10 were measured with a specific enzyme linked immuno-sorbent assay (ELISA) kit from Diaclone and protocol was run according to manufacturer’s instructions.
STATISTICAL ANALYSIS OF DATA
The serum IL-10 levels were expressed as median and compared using Mann Whitney U test. A chi-square test was used to compare allele and genotype frequencies among groups and Hardy-Weinberg equilibrium in controls of genotype distribution. Odds ratio (OR) with 95% confidence intervals (CIs) was calculated. To provide separate odds ratios for each genotype, the most common genotype was considered as the reference group. All statistical analyses were performed with the SPSS statistical software version 23.0 and P-value (Figures 1 and 2).
RESULTS
Total study subjects enrolled in this study were 106, comprised of 53CCS cases (26 males/27 females; mean age 46.06+/-9.34) and 53 healthy controls (30 males/23 females; mean age 40.98+/-7.72) (Table 1). The gender difference among two groups was not statistically significant. The difference of the age between the two groups were statistically significant with P-value 0.003 (Table 2. It was found almost equal cases of females and males suffered from CCS who attended and were enrolled in this study.
Serum IL-10 in patients and healthy controls
Serum IL-10 levels of Cervical spondylitis cases and controls showed no statistically significant result (1.78 pg/ml vs. 1.65 pg/ml, P-value >0.05) (Table 3).
An association between IL-10 gene polymorphism and serum IL-10 levels
Mean serum IL-10 level in TT, CT, CC genotype was 1.86 pg/ml, 1.76 pg/ml and 1.6 pg/ml respectively with no statistically significant difference noted between CCS cases and controls of study group on intergenotype comparison with IL-10 levels (Figure 3).
The genotype frequencies of IL-10 in patients and healthy controls
The genotype frequency of the IL-10 gene -819C/T polymorphisms were counted, calculated and given details in Table 4. Within control study group the genotype distributions were in accordance with Hardy-Weinberg Equilibrium. No significant difference was found in the distribution of IL-10 -819C/T polymorphisms between patients and healthy controls (P-value 0.72). To estimate the association between genotype and Cervical spondylitis disease, Odds ratio and 95% confidence interval (CI) were calculated and the results showed that -819C/T polymorphisms was not been associated with an increased risk of Cervical spondylitis (-819C/T OR=0.805, 95% CI {0.244-2.66}, p-value=0.72). Details are given in Table 5.
In present study total 53 cases were studied which included 27 females (50.9%) and 26 males (49.1%), this showed almost equal number of males and females.
Data is represented as median (interquartile range) in Figure 3. Median serum Interleukin-10 value was 1.78 pg/ml in CCS cases and 1.65pg/ml in Controls. There was no statistically significant difference observed between cases and control group in serum Interleukin-10 values.
Genotypic distribution in all subjects of cases and controls, the single nucleotide polymorphism (SNP) analysis in IL-10 gene were 28.3%, 62.2% and 11.3% (TT, CT, CC) and 26.4%, 58.4% and 13.2% (TT, CT, CC) respectively (Table 4).
DISCUSSION AND CONCLUSION
Cervical spondylitis is an ubiquitous degenerative process of aging spine begins at the intervertebral disc and results in reactive changes that may lead to compression of spinal cord or exiting nerve roots. Risk factors include age, occupation, neck injuries, genetic factors, depression or anxiety, previous injury or trauma of neck and smoking. The outcome of neck pain depends on an underlying cause, but an acute pain usually resolves within days or weeks, although it can become chronic. Outcome is unpredictable once pain becomes chronic, where prognosis and factors influence on it greatly. At least 10% of affected people develop chronic neck pain and it causes severe disability in 5% of people [11]. An etiology of cervical spondylitis is unknown, but cytokines are implicated in progression of cervical spondylitis, which are important immune response modulators produced by immune cells upon stimulation. Cytokine genes are highly polymorphic, since polymorphisms are frequently present in region of DNA that regulates transcriptional and post-transcriptional events.
Earlier research study in Chinese population with Ankylosing Spondylitis for IL-10 gene polymorphism on -1082A, -819T and -592A gene loci, where the frequencies of -1082 AG and -819 CC genotypes were significantly increased in AS patients [9]..To best of our knowledge there was paucity in information regarding role of IL-10 polymorphism in cervical spondylitis, therefore this study evaluated molecular gene polymorphism and biochemical aspects of IL-10 and their correlation in cervical spondylitis. Present study observed no statistical significant association of serum IL-10 levels between cases and control groups. Serum IL-10 values was found to be slightly high in cases as compared to controls although not statistically significant (P-value=0.315) (Table 3). Similar reports were noted by Rabelo with higher IL10 levels in Ankylosing spondylitis and attributed it to increased immune activity [12]. No significant difference noted in present study may be due to relatively smaller sample size and single institutional sample collection. Study by Mercado et al. [13] has shown IL10 to have controversial role in inflammation which was contrary to previous study of Borish et al. [14] who had found an inverse association between severity of Asthma and IL-10 concentration measured in bronchoalveolar lavage (BAL) fluid, which showed low IL-10 levels in Asthmatics than in healthy controls that evidenced decreased IL-10 levels leading to uncontrolled pro-inflammatory cytokine secretion and contributing to airway inflammation. Lapadula et al. [10] depicted decreased levels of IL-10 production in Rheumatoid arthritis (RA) patients compared to healthy controls.
Present conducted study with IL-10 gene polymorphism -819 promoter site in North Indian population with Cervical spondylitis showed no significant difference in the distribution of IL-10-819C/T polymorphism between the cervical spondylitis patients and healthy controls (p-value=0.72). To, best of our knowledge the literature search showed no studies that has been conducted to document IL-10 polymorphism in cervical spondylitis till date, hence comparison could not be drawn in the cases of our study. However, IL-10 polymorphism study done on Ankylosing spondylitis in Taiwanese population reported that IL-10-819 C/T genotype frequencies showed a significant association between Ankylosing spondylitis patients and healthy controls with a p-value of 0.05 [15]. There were no such statistically significant results of IL-10 polymorphism at -819 promoter site in cervical spondylitis cases of our study. To estimate the association between the genotype and cervical spondylitis, odds ratio (OR) and 95% CI were calculated and the results suggest that there was no statistically significant association to the genotypes (CT, CC, TT) with the risk of Cervical spondylitis (-819CT OR=0.918, 95% CI (0.24-3.4) p-value=0.89) (Table 5).
In previous study researchers investigated out role of IL-10 polymorphism on Serum IL-10 levels in Ankylosing spondylitis, Chengyu et al. [9] observed that -819CC genotype was associated with higher IL-10 levels as compared with -819TT genotype. In present study IL 10 genotype polymorphism assessment showed no statistically significant differences between cases and control groups. Serum IL-10 levels showed close values (P-value=0.315) with the relation to the genotypes showing TT (1.86 pg/ml), CT (1.76 pg/ml) and CC (1.6 pg/ml). In this study, we found out that -819 C/T polymorphism is not significant in studied population. The serum IL-10 levels were slightly elevated in CCS cases compared to controls although statistically no significance was noted, but IL-10 being a potent anti-inflammatory cytokine their concentrations could be raised due to counter regulatory action towards pro-inflammatory molecules. Rabelo et al. [12] also reported the elevated concentrations of IL-10 in Ankylosing spondylitis because of stimulation of IL-10 to suppress the inflammatory response.
From this study it could be concluded that Interleukin-10 gene polymorphism of -819C/T, none of the genotypes are showing risk towards the susceptibility of chronic cervical spondylitis. Moreover, there was no significant association between the IL-10 levels and Interleukin-10 gene polymorphism.
The results of present study have some limitations because of relatively small number of cases and controls and considering only one gene of IL10 in study. To elucidate out molecular and biochemical aspects on CCS and generate evidenced based data to validate out hypothesized ideas, it is considered to involve and study more genes with larger sample size elucidating the genetic effects of gene polymorphism on Chronic Cervical spondylitis. Thus, present study concludes that results of IL-10 -819C/T gene polymorphism and biochemical analysis had no statistical significant associations with susceptibility of CCS in studied subjects. We further put forward future prospects to analyze other genes of inflammatory and pro-inflammatory markers at molecular and biochemical levels including large sample size for validation and confirmation of biochemical and genetic correlationship in CCS for screening, diagnostic and prognostic potencies.
- Alexander JT (1996) Principles of spinal surgery. New York: McGraw – Hill, pp: 547-555.
- Rao RD, Currier BL, Albert TJ, BONO CM, Marawar SV, et al. (2007) Degenerative Cervical spondylosis: Clinical syndromes, pathogenesis and management. J Bone Joint Surg Am 89: 1360-1378.
- Irvine DH, Foster JB (1965) Prevalence of cervical spondylosis in a general practice. Lancet 285: 1089-1092.
- Solovieva S, Kouhia S, Leino-Arjas P, Ala-Kokko L, Luoma K, et al. (2004) Interleukin 1 polymorphisms and intervertebral disc degeneration. Epidemiology 15: 626-633.
- Karppinen J, Daavittila I, Solovieva S, Kuisma M, Taimela S, et al. (2008) Genetic factors are associated with modic changes in endplates of lumbar vertebral bodies. Spine 33: 1236-1241.
- Karpinnen J, Solovieva S, Luoma K, Raininko R, Leino-Arjas P, et al. (2009) Modic changes and interleukin 1 gene locus polymorphisms in occupational cohort of middle-aged men. Eur Spine J. 18: 1963-1970.
- Eskola PJ, Kjear P, Daavittila I, Solovieva S, Okuloff A, et al. (2010) Genetic risk factors of disc degeneration among 12-14-year-old Danish children: A population study. Int J Mol Epidemiol Genet 1: 158-165.
- Kelempisoitil A, Eskolal P, Okuloff A, Karjalainen U, Takatalo J, et al. (2011) Genetic susceptibility of intervertebral disc degeneration among young finish adults. BMC Med Genet 12: 153.
- Chengyu LV, Wang Y, Wang J, Zhang H, Xu H, et al. (2011) Association of Interleukin-10 gene polymorphisms with ankylosing spondylitis. Clin Invest Med 34: 370-376.
- Lapadula G, Iannone F, Cavelli M, Pipitone V (1995) Interleukin -10 in rheumatoid arthritis. Clin Exp Rheumatol 13: 629-632.
- Binder AI (2007) Cervical spondylosis and neck pain. BMJ 334: 527-531.
- Rabelo CF, Baptista TSA, Peterson LE, Bauer ME, Keiserman MW (2018) Serum IL-6 correlates with axial mobility index (Bath Ankylosing Spondylitis Metrology Index) in Brazilian patients with Ankylosing spondylitis. Dovepress 10: 21-25.
- Mercado MVD, Gonzalez AG, Valle MJF (2002) Interleukin 1 beta (IL-1 beta), IL-10, tumor necrosis factor alpha and cellular proliferation index in peripheral blood mononuclear cells in patients with ankykosing spondylitis. J Rheumatol 29: 522-526.
- Borish L, Aarons A, Rumbyrt J, Negri J (1996) Interleukin-10 regulation in normal subjects and patients with asthma. J Aller Clin Immunol 97: 1288-1296.
- Chengyu LV, Wang Y, Wang J, Zhang H, Xu H (2011) Association of Interleukin-10 gene polymorphisms with Ankylosing spondylitis. Clin Invest Med 34: 25-32.
QUICK LINKS
- SUBMIT MANUSCRIPT
- RECOMMEND THE JOURNAL
-
SUBSCRIBE FOR ALERTS
RELATED JOURNALS
- Journal of Genomic Medicine and Pharmacogenomics (ISSN:2474-4670)
- Journal of Microbiology and Microbial Infections (ISSN: 2689-7660)
- Journal of Biochemistry and Molecular Medicine (ISSN:2641-6948)
- Journal of Veterinary and Marine Sciences (ISSN: 2689-7830)
- Advances in Nanomedicine and Nanotechnology Research (ISSN: 2688-5476)
- Journal of Agriculture and Forest Meteorology Research (ISSN:2642-0449)
- Journal of Genetics and Cell Biology (ISSN:2639-3360)





