3853
Views & Citations2853
Likes & Shares
RAPN is considered the gold standard to treat the localized renal tumors, through the PADUA and RENAL score to evaluate and compare the correlations between preoperative and the anatomical aspects. In our team we have perform the RAPN after super selective embolization with Onyx of the renal tumors with clamp less technique, obtaining a shorter intraoperative resection time of tumor, no time of ischemia, and reduction of bleeding and intraoperative complications. This study describes this new approach on 3 patients. The first patient is a 46 years old woman, with a tumor of 6.2 cm, entirely exophytic, localized on the lower pole of the left kidney with a RENAL SCORE of 5a. The second patient is a 64 years old woman, with a tumor of 4.1 cm, partially exophytic, localized on the superior pole of the right kidney and a RENAL SCORE of 6a. The third patient is a 55 years old man, with a tumor of 4.8 cm, almost entirely exophytic and near to collecting system (5 mm), of the superior pole of the right kidney and a RENAL SCORE of 6a. In all three patients the time of hospitalization is reduced, with regular post-operative course and preserved renal functional at 6 months after surgery.
Keywords: Super selective embolization, intraoperative complications, RENAL SCORE, localized renal tumors, PADUA
INTRODUCTION
Background
Renal localized cancers are evaluated with R.E.N.A.L. [Radius (tumor size as maximal diameter), Exophytic/endophytic properties of the tumor, Nearness of tumor deepest portion to be collecting system or sinus, Anterior (a)/posterior (p) descriptor and the Location relative to the polar line nephrometry scores] [1,2]. EAU guidelines recommend offering partial nephrectomy to patients with T1 tumors. Lots of centers perform RAPN to improve the post-operative course and to reduce the post and intraoperative complications [3] The technique nephron-sparing RAPN after super selective embolization describes in literature with results that show resections of moderate complexity performed clamp less, without intraoperative bleeding [4].
MATERIALS & METHODS
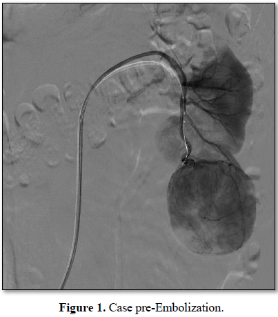
In this study we have chosen 3 patients and through the RENAL SCORE we have planned the procedure in a multidisciplinary team. The first patient is a 46 years old woman, with a tumor of 6.2 cm, entirely exophytic, localized on the lower pole of the left kidney. She has no significant comorbidity. She has been staged with TC chest-abdomen, without evidence of venous thrombus or metastasis (cT1b; N0; V0; M0). The second patient is a 64 years old woman, with a tumor of 4.1 cm, partially exophytic, localized on the superior pole of the right kidney. In anamnesis she has hypertension, obesity and hepatopathy HCV+. She has been staged with TC chest-abdomen, without evidence of venous thrombus or metastasis (cT1b; N0; V0; M0). The third patient is a 55 years old man, with a tumor of 4.8 cm, almost entirely exophytic and near to collecting system (5 mm), of the superior pole of the right kidney. In anamnesis he has only GERD. He has been staged with TC chest-abdomen, without evidence of venous thrombus or metastasis (cT1b; N0; V0; M0). At first renal arteriography is made to visualize the arterial vascularization, focused on the tumoral artery that is catheterized super selectively. The tumor and its artery is embolized with Onyx. The second time of the procedure performed is the RAPN.
RESULTS
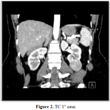
In all patients the total operative time and the resection time of the tumor time are reduced compared to median of our center. Intraoperative bleeding is minimal and it isn’t necessary to isolate the vascular pedicle. In all procedures the time of ischemia is 0. The post-operative course has been regular (Clavien 0 in every patient). The tumor of patient 1 is a chromophobe cell renal carcinoma, the tumor of patient 2 is a papillary renal cell carcinoma type 1, the tumor of patient 3 is a clear cell renal carcinoma. In all patients’ surgical margins are negative. The complete description of the pre-operative, intraoperative and post-operative features is showed in Tables 1-3 and Figures 1 and 2.
DISCUSSION
RAPN is considered the gold standard to treat the localized renal tumor and surgery can be planned through nephrometry score, like R.E.N.A.L. score, with less post-operative complications and shorter hospital stay than open technique. Sometimes the localization and the clamping of vascular pedicle can be hard, with increased risk of intraoperative bleeding and increasing the time of resectione of tumor. The RAPN after superselective embolization with Onyx of the renal tumor can reduce the risk of intraoperative bleeding and the time of the resection of tumors.
CONCLUSIONS
Identifying the vascular pedicle in the RAPN can be hard, increasing the risks of intraoperative bleeding and sincreased surgical resection times. The super selective embolization with Onyx can help the urologist to perform the resection of tumor, with less intraoperative bleeding, shorter resection tumor time. The follow-up at the 6th months showed no evidence of residual tumor and a renal function (level of creatinine) equal to the preoperative evaluation.
1. Borgmann H, Reiss AK, Kurosch M, Filmann N, Frees S, et al. (2016) RENAL score outperforms PADUA score, C-Index and DAP score for outcome prediction of Nephron Sparing Surgery in a selected cohort. J Urol 196: 664-671.
2. Schiavina R, Novara G, Borghesi M, Ficarra V, Ahlawat R, et al. (2016) PADUA and R.E.N.A.L. nephrometry scores correlate with perioperative outcomes of robot-assisted partial nephrectomy: Analysis of the Vattikuti Global Quality Initiative in Robotic Urologic Surgery (GQI-RUS) database. BJU Int 119: 456-463.
3. Borghesi M, Schiavina R, Gan M, Novara G, Mottrie A, et al. (2013) Expanding utilization of robotic partial nephrectomy for clinical T1b and complex T1a renal masses. World J Urol 31: 499-504.
4. Benoit M, Bouvier A, Panayotopoulos P, Culty T, Guillonneau B, et al. (2018) Laparoscopic partial nephrectomy after selective embolization and robot-assisted partial nephrectomy: A comparison of short-term oncological and functional outcomes. Clin Genitourin Cancer 16: 453-457.
QUICK LINKS
- SUBMIT MANUSCRIPT
- RECOMMEND THE JOURNAL
-
SUBSCRIBE FOR ALERTS
RELATED JOURNALS
- Journal of Forensic Research and Criminal Investigation (ISSN: 2640-0846)
- Journal of Alcoholism Clinical Research
- Journal of Spine Diseases
- Dermatology Clinics and Research (ISSN:2380-5609)
- Journal of Clinical Trials and Research (ISSN:2637-7373)
- Ophthalmology Clinics and Research (ISSN:2638-115X)
- International Journal of AIDS (ISSN: 2644-3023)



