3907
Views & Citations2907
Likes & Shares
Clinical Presentation
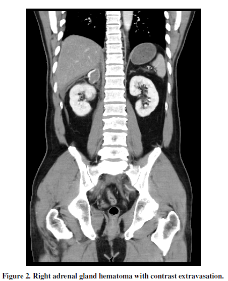
The 44-year-old male with hypertension and diabetic presented in the emergency department with torso pain after motor vehicle crash 30 minutes ago. The pain was located at right upper quadrant, flank, chest and back. Vital signs were stable. The sonography showed ascites over Morison’s pouch. The laboratory data showed GOT of 462 U/L and GPT of 497 U/L. The results of contrast-enhanced computed tomography (CT) were as following: (1) right adrenal gland hematoma with contrast extravasation(Figure 1, Figure 2), (2) liver laceration Grade II (Figure 1),(3) pelvic fracture (Figure 3). He received conservative treatment and discharged smoothly 20 days later.
Traumatic adrenal injury is a relative rare event which is reported in 0.15 to 4% of the blunt abdominal trauma cases[1]. Adrenal trauma is unilateral in 75–90 % of cases and most commonly affects the right adrenal gland [2]. The clinical management of adrenal trauma is usually directed by concomitant injuries, while the adrenal trauma itself is most often managed conservatively [3]. In addition, the most common CT manifestation of adrenal trauma is 2–3-cm oval hematoma [2]. Finally, the adrenal injury is an important indicator of the severity of trauma and associated with increased morbidity and mortality [2], such as in this case.
1. Ramchandani P, Buckler PM. Imaging of genitourinary trauma. AJR Am J Roentgenol 2009 192(6):1514–1523.
2. Sinelnikov AO, Abujudeh HH, Chan D, Novelline RA. CT manifestations of adrenal trauma: experience with 73 cases. Emerg Radiol 2007 13(6):313–318.
3. Chien-Hung Liao, Chun-Hsiang Ouyang, Yu-Pao Hsu. The current status and management of blunt adrenal gland trauma. Surgery 2015 157(2):338-343.
QUICK LINKS
- SUBMIT MANUSCRIPT
- RECOMMEND THE JOURNAL
-
SUBSCRIBE FOR ALERTS
RELATED JOURNALS
- International Journal of Internal Medicine and Geriatrics (ISSN: 2689-7687)
- Journal of Oral Health and Dentistry (ISSN: 2638-499X)
- Journal of Ageing and Restorative Medicine (ISSN:2637-7403)
- Journal of Infectious Diseases and Research (ISSN: 2688-6537)
- Journal of Neurosurgery Imaging and Techniques (ISSN:2473-1943)
- International Journal of Diabetes (ISSN: 2644-3031)
- Journal of Cancer Science and Treatment (ISSN:2641-7472)




