3880
Views & Citations2880
Likes & Shares
Background: Worldwide, Hepatitis B virus infection (HBV) leads a serious public
health problem. Several genome-wide association studies revealed an association
between the HLA class Ⅱ gene regions and HBV chronic infection.
Aim: To determine the
role of HLA-DRB1*07:01, -DQB1*03:01 and -DPB1*09:01 alleles among acute and
chronic hepatitis B virus infected patients.
Methodology: This case control study was done in the department of Microbiology for a
period of 3 years (August 2015 to July 2018). Blood sample (3 ml) was collected
from HBsAg seropositive patients and healthy control. Serum samples were
screened for other HBV seromarkers to differentiate the patient into acute and
chronic hepatitis B infection by ELISA method. Multiplex PCR/SSP method was
done to analyse HLA-DRB1*07:01, -DQB1*03:01 and -DPB1*09:01 alleles in HBV
patients and healthy control.
Statistical analysis: Allele frequency of the study groups were compared using Chi-square
test.
Results: Among the 182 HBV
infected patients, 32 and 150 were suffering from acute and chronic infection.
Risk factors such as alcohol consumption (OR=1.60, P=0.05), tattooing (OR=4.37,
P=0.003), history of previous surgery (OR=2.02, P=0.012), family history of
hepatitis infection (OR=2.99, P=0.005) showed significant differences among the
two groups. Among the 3 alleles, significant association of allele frequencies
of HLA DQB1*03:01 in the CHB group (48.67%) were higher than those in the
normal control group (19.78%).
Discussion and conclusion: HLA class II allele is one of the factors determining the outcome of HBV
infection. DQB1*03:01 is closely related with susceptibility to CHB infection.
Keywords: Chronic hepatitis B
(CHB) infection, Acute hepatitis B infection (AHB) infection, Human leukocyte
antigen (HLA), DQB1, DRB1 and DPB1 alleles
INTRODUCTION
Worldwide,
Hepatitis B viral infection (HBV) leads to a serious public health problem [1]
and it affects more than 350 million people [2]. HBV infection is usually
variable and complex that result in different clinical outcomes includes
chronic hepatitis B (CHB), liver cirrhosis (LC) and hepatocellular carcinoma
(HCC) [3]. Several factors like virulence of the viral strains and the host
immune response determines the outcome of HBV infection [4]. Host factors such
as gender, age of infection, smoking, volume of alcohol intake may be closely associated
with the HBV outcome [3].
Major
histocompatibility (MHC) class II molecules play an important role in the
protection against infections and also involved in antigen presentation to CD4+
T cells thereby enhancing antibody production and cytotoxic T cell activation.
Such molecules are encoded by Human leukocyte antigen (HLA) -DR, -DQ and -DP
loci [5,6]. The genes encoding HLA class II molecules are the highly
polymorphic genes in the human genome and are therefore ideal candidates for
the investigation of HBV infection [7]. Several
genome-wide association
studies
revealed an
A study from
Chinese population showed that DQB1*03:01was associated with viral persistence
[11]. A study from Turkey revealed that HLA DR7 and DQ3 alleles were related to
susceptibility to chronic infection [12]. A Trans ethnic association study
revealed that HLA DPB1*09:01 was a risk allele to chronic HBV infection [13] In
the present study we have analysed the association of HLA-DRB1*07:01, -DQB1*03:01
and -DPB1*09:01 alleles in patients with chronic and acute hepatitis B infection
and healthy control using multiplex polymerase chain reaction with sequence
specific primers.
MATERIALS AND METHODS
The study was done
in the department of Microbiology at Chettinad Hospital and Research Institute
from August 2015 to July 2018 for a period of 3 years. Three study groups have
been enrolled. A case group of acute hepatitis B infected patients (first
group) and chronic hepatitis B patients (second group). The third group of
healthy controls with age and sex matched HBsAg – negative individuals who had
no history or clinical evidence of hepatitis infection. A detailed evaluation
of patient history (demographic, past medical and behavioural risk) and
informed consent were recorded from each patient and controls in a
questionnaire form. Undergone Institutional Human Ethical Clearance and
Clinical trial registry done (CTRI/2018/01/011460).
Serological testing
All serum specimens
were stored at -20°C, thawed and tested according to manufacturer’s
specifications for HBsAg, HBeAg, total anti HBc, antiHBc IgM and antibodies to
HBsAg (Dia.Pro Diagnostic Bioprobes, Italy) by Enzyme-Linked Immunosorbent
Assay (ELISA). Subjects with Acute hepatitis B infection were positive for
HBsAg, total antiHBc, antiHBcIgM and negative for antiHBs. Subjects with
Chronic HBV were positive test for HBsAg, total antiHBc and negative for anti
HBc IgM, antiHBs. Healthy control group were negative for HBsAg, total antiHBc
IgM and antiHBs without evidence of HBV infection in past or present.
DNA extraction
In total, three ml
of blood was collected from patients and stored in EDTA tubes at -20℃ for the
day of DNA extraction. Genomic DNA was extracted using 200 µl of peripheral
blood using Nucleospin blood column genomic DNA purification kit according to
manufacturer’s instructions. (MACHEREY- NAGEL GmbH & Co. KG, Germany).
Primer synthesis and reagents
The sequence
specific PCR primers were used for the detection of HLA-DRB1*07:01, -DQB1*03:01
and -DPB1*09:01 loci by Olerup et al. [14], the primers amplifying human growth
hormone gene were synthesized by Biocorporals Company, Chennai. Buffer mix (2X)
was purchased from Emerald Amp GT PCR Master Mix, Incell Technologies.
Multiplex PCR amplification
The alleles of HLA
DRB1*07:01, DQB1*03:01 and DPB1*09:01 was detected by a multiplex polymerase
chain reaction with sequence-specific primer (PCR-SSP). Primer sequence and PCR
product size are listed in Table 1. Internal positive-control primer was
a fragment of human growth hormone gene 1 (chr 17), consisting of 439 bp were
included in the reaction system to eradicate false negative. PCR was performed
in 25 µL reaction mixture containing 15.5 µl of 2X buffer, 100 ng genomic DNA
(2 µl), 0.4 µmol/L primer, 0.2 µM of the internal control primer and 4.5 µl of
deionized water. The multiplex PCR cycling parameters of HLA class II alleles
were as follows: initial denaturation at 95°C for 5 min, first 10 cycles
consisted of denaturation at 95°C for 30 s, combined-annealing extension step
at 66°C for 30 s, following 20 cycles consisted of denaturation at 94°C for 10
s, annealing at 61°C for 60 s and extension at 72°C for 30 s in thermo cycler
(Agilent Technologies Sure Cycler 8800). In each PCR reaction a primer pair was
included to amplify the human growth hormone gene, which functioned as an
internal positive amplification control.
Detection of PCR products
After
amplification, bands were visualized in 1.5% agarose gel stained with ethidium
bromide electrophoresed for 100 V for 45 min. DNA marker 100 bp (Bio-Rad, USA)
was used to measure the molecular size of the amplified products. The allelic
types were determined according to the presence or absence of PCR products of
the desired length. The DNA bands were visualized using Wealtec Dolphin view
Gel Imaging System (Wealtec Bioscience Co, Ltd., USA).
STATISTICAL ANALYSIS
Allele Frequency
(AF) of HLA class II alleles were calculated by direct count. To assess the
association of HLA class II allele with AHB and CHB infection, Chi-square test
was applied to a two-by-two contingency table based on the allele frequencies.
Odds ratios (OR) were calculated based on the 2 × 2 table of allele count.
Demographic characteristics of the study groups were compared using Pearson’s
Chi- square test. The p value ˂0.05 considered as statistical significant for
all tests. Statistical analyses were done using SPSS 10.0 software.
RESULTS
In this case
control study, a total of 150 patients (104 males and 56 females) was positive
for HBsAg, anti HBc Total and negative antiHBc IgM (i.e., indicating they are
suffering from chronic hepatitis B viral infection). Nearly 32 patients (15
males and 17 females) were positive for HBsAg, AntiHBc Total, antiHBc IgM
(i.e., indicating they are acute hepatitis B viral infection). Healthy controls
negative for all HBV seromarkers were 182 (119 males and 63 females). We found
no significant difference among cases and controls in terms of gender
(P=1.000).
The demographic,
behavioral and past medical history of the recruited subjects is shown in Tables
2 and 3. We observed significant differences in marital status and
education between cases and control with a P value of <0.05. Other factors
such as alcohol consumption (OR=1.60, P=0.05), tattooing (OR=4.37, P=0.003), a
history of previous surgery (OR=2.02, P=0.012), family history of hepatitis
infection (OR=2.99, P=0.005) showed significant differences among the two
groups. Even though the frequency of other risk factors, such as history of
blood transfusion (P=0.132) and sharing nail clippers (P=0.880) was higher in
the patient group, no significant difference was observed in the control.
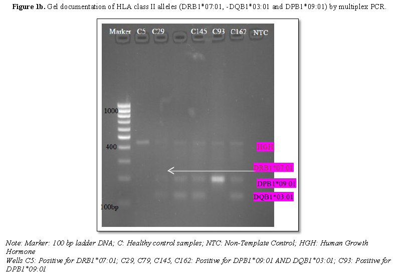
The distribution of HLA-DRB1*07:01, -DQB1*03:01 and -DPB1*09:01 alleles in patients with chronic hepatitis B and healthy control is shown in Table 4. The positivity of HLA-DQB1*03:01 allele in patients with chronic hepatitis B group was markedly higher than that in normal control, there was a significant difference between them. The positivity of HLA-DRB1*07:01 and -DPB1*09:01 alleles in patients with chronic hepatitis B were not different from that in normal control. The gel electrophoresis of HLA-DRB1*07:01,-DQB1*03:01 and DPB1*09:01 alleles by multiplex PCR are shown in Figures 1a-1c.
The positivity of
HLA-DRB1*07:01 and DPB1*09:01 alleles in patients with acute hepatitis B group
were markedly higher than that in chronic hepatitis B, there was a significant
difference between them. The positivity of HLA-DQB1*03:01 allele in patients
were similar in both AHB and CHB. The distribution of HLA-DRB1*07:01,
-DQB1*03:01 and -DPB1*09:01 alleles in patients with acute and chronic
hepatitis B is shown in Table 5.
HLA analysis
stratified by gender revealed that the DQB1*03:01 (OR: 4.11; 95% CI: 1.85-9.16;
p=0.000) allele were associated with the female gender (Table 6). HLA
analysis stratified by age revealed that DQB1*03:01 were more frequent in HBV
infected patients aged ≥ 36 years (OR: 3.46; 95% CI: 1.71-7.01; p=0.000) (Table
7). The mean age of the HBV patients was 36 years, for age ranging from 18
to 65 years.
DISCUSSION
In the present
study, we examined the association of three HLA class II alleles on
susceptibility of HBV infection. HBV infection is a global health problem,
frequently leads to acute and chronic hepatitis. A complex combination of
environmental, genetic and viral components such as gender, age and variation
in the HBV genome influences persistent HBV infection [15-18]. Several
association studies revealed that HLA class II alleles involved in the
clearance or persistent of hepatitis B virus infection [19].
In acute hepatitis
B infection specific CD8+ and CD4+ T-cell play a vital role in viral clearance
and self-limited process of the disease. These responses are diminished in persons
with chronic HBV infection [20-22]. Development of antibodies to HBsAg and
HBeAg becomes failure in patients with chronic HBV infection and lack of Th
cell response by class II molecules with poor antigen presenting capacity [23].
A study showed that
allele frequency of HLA-DRB1*07:01 in CHB patients (57.83%) was markedly higher
than the spontaneously recovered group (24.71%) with an odds ratio of 3.76 was
strongly associated with HBV chronicity [24]. In another study [25], the
frequency of DRB1*07:01 allele was significantly higher in chronic carriers vs.
natural convalescent group (10.8% vs. 4.7%; OR=2.58) indicates that this allele
is associated with Hepatitis B chronicity among Koreans. Meta-analysis showed
that DRB1*07:01 (OR=1.59) allele had a significantly increased risk of chronic
HBV persistence in the Chinese Han group [26]. In the present study, the allele
frequency of HLA-DRB1*07:01 in the acute hepatitis B group was markedly higher
than those in the chronic hepatitis B group; there was a significant
correlation between them (Table 5). This findings suggest that DRB1*07:01
allele may be a susceptible gene for acute hepatitis B and a resistance gene
for chronic hepatitis B.
The study by Jiang
et al. [11] from China in the year 2003, found that the allele frequency of
DQB1*03:01 in CHB group was higher than the normal control group. (35.58% vs.
18.87%; RR=4.07). Thio et al. [27] reported that allele frequency of DQB1*03:01
in patients with HBV persistence was higher than the control (32% vs. 12%;
OR=3.9), suggesting that HBV persistence was significantly associated with DQB1*03:01
in American Caucasians. In another Chinese study, the meta-analysis showed that
DQB1*03:01 (OR=1.37) allele was significantly associated with an increased risk
of CHB [28]. In the present study, we found that the allele frequency of
HLA-DQB1*03:01 in the chronic hepatitis B group was markedly higher than those
in the healthy control and there was a significant correlation between them (Table
4). This findings suggest that DQB1*03:01 allele may be a susceptible gene
for chronic hepatitis B
The result of Japan
study revealed that DPB1*09:01 allele frequency was higher in HBV patients than
the healthy control (14.4% vs. 9.8%; OR=1.56), suggesting that it is a
susceptible allele for CHB [9]. Study conducted by Nishida et al. [13], in the
year 2014, reported that DPB1*09:01 (OR=1.97) is a new risk allele to chronic
HB infection among Asian populations comprising Japanese, Korean, Hong Kong and
Thai subjects. In the present study, we found that the allele frequency of
HLA-DPB1*09:01 in the acute hepatitis B group was markedly higher than those in
the chronic hepatitis B group; there was a significant correlation between them
(Table 5). This findings suggest that DPB1*09:01 allele may be a
susceptible gene for acute hepatitis B and a resistance gene for chronic
hepatitis B.
Bruno et al. [29]
analysed HLA-DRB1 alleles among the HBV infected patients, this confirmed that
the DRB1*09 allele was significantly associated with HBV infected male patients
and the DRB1*08 allele was significantly associated with HBV infected patients
aged ≤ 39 years. In this study, HBV infection in female and patients aged ≥ 36
years were associated with the HLA-DQB1*03:01 allele. This finding suggest that
preventive measures should be taken for elder individuals and female gender
with DQB1*03:01 allele.
In our study the
frequency of Hepatitis B viral infection was higher in male than in females and
in concordance with other study [30]. Majority of the cases were illiterate
(46.7%). This might be due to the lack of knowledge about HBV disease and its
transmission. Educational programs should be provided to stop the spread of HBV
infection. About 71.9% of the cases were married, showed statistical
significance compared to controls. This indicates the lack of awareness and
recommends the need of premarital screening before marriage.
Role of risk
factors analysis showed that in private hospitals and clinics outbreaks of
blood borne viral infections occurs due to unsterilized surgical instruments as
documented by Ott et al. [31]. In our study, 25.2% of patients infected with
HBV gave a history of previous surgery and our study was in concordance with a
study conducted in Iraq, that documented 20.1% of the HBV infected patients had
(previous history of) undergone previous surgery [32].
In our study,
family history of hepatitis infection was obtained in 14.8% of the cases and
5.5% of control. Possibility of transmission occurs within the family members
due to sharing of razors, tooth brushes and other house- holding instruments [33].
In a study conducted in Iran, 8% of the HBV positive cases gave a family
history of hepatitis infection [32].
History of blood
transfusion, sharing nail clippers and place of domicile did not contribute
significantly to HBV transmission in the study. The similar finding was
documented in previous study [34]. A study Tandon et al. [35] reported blood
transfusion is a major route of transmission in adults. Sharing nail clippers
among friends and household members were common among the cases (14.8%)
compared to the control (13.7%). Transmission of virus through this route may
occur over prolonged period.
We found, cases
were more likely to drink alcohol than the control group. Male gender was
significantly associated with alcohol use. Too much of alcohol consumption is
an independent risk-factor for HBV infection [36].
Several studies
reported that tattooing is a risk factor for HBV infection [37]. In our study
tattooing were found to be more prevalent among the cases (10.9%) compared to
the control (2.7%).
The present study
proposed that HLA DQB1*03:01 may be the susceptible gene and HLA DRB1*07:01 and
-DPB1*09:01 may be the resistant genes to chronic hepatitis B. This will give
some evidences to study the pathogenesis of HBV infection. Finally in this
study, it was found that along with genetic factors, family history of
hepatitis B and history of previous surgery play an important role in chronic hepatitis
B viral infection.
CONCLUSION
Findings of this
study support that HLA DQB1*03:01 may be the susceptible allele and play an
important role in patients with chronic HBV infection. The association of HLA
DQB1*03:01 allele in CHB patient could be either because of the inability of
this allele to present viral epitopes effectively. HLA DRB1*07:01 and
DPB1*09:01 alleles showed significant association with acute hepatitis B
infection. Although an OR of 15.7 predicts a statistically significant
frequency of HLA DPB1*09: 01 allele in AHB patients, the wide confidence
interval indicates that number of acute HBV patients should be increased
to reach to a more definite conclusion. So, individuals with HLA types
may differ in resistance or susceptibility to disease. A large and multi ethnic
confirmatory study is needed to validate these findings and to further explore
the genetic pathogenesis of HBV infection. Awareness of the blood borne
infection among the people, regular or a periodic screening programme among the
young adult and empowering the Anti-HBsAg immunization may grossly reduce the
HBV infection.
ACKNOWLEDGEMENT
We thank Prof. Dr. R
Murugesan (Director- Research, Chettinad Academy of Research and Education) for
his invaluable suggestions and support during the course of our work. We thank
Dr. Vani Subramanian from department of Human Genomics for helping to
standardize multiplex PCR. We thank Dr. Priyadarshini Shanmugam HOD of
Microbiology department to carry out the research work. We thank Dr. Babu Kumar
(Gastroenterologist) for his support during the study.
DECLARATION
Prior publication
Nil.
Support
Chettinad Academy
of Research and Education Fund.
Conflicts of interest
Nil.
Permissions
Institutional Human
Ethics Committee- CARE.
Source(s) of support
Source of financial
support in the form of grants: CARE FUND; Chettinad Academy of Research and
Education.
1.
Gerlich WH (2013) Medical virology of hepatitis B:
How it began and where we are now? Virol J 10: 239.
2.
Pan CQ, Zhang JX (2005) Natural history and clinical
consequences of hepatitis B virus infection. Int J Med Sci 2: 36.
3.
Yin J, Xie J, Liu S, Zhang H, Han L, et al. (2011)
Association between the various mutations in viral core promoter region to
different stages of hepatitis B, ranging of asymptomatic carrier state to
hepatocellular carcinoma. Am J Gastroenterol 106: 81.
4.
Zinkernagel RM (1995) HLA and disease. JAMA 274:
1069-1071.
5.
Accolla RS, Barbaro AD, Mazza S, Casoli C, De Maria
A, et al. (2001) The MHC class II transactivator: Prey and hunter in infectious
diseases. Trends Immunol 22: 560-563.
6.
Marsh SG, Albert ED, Bodmer WF, Bontrop RE, Dupont
B, et al. (2005) Nomenclature for factors of the HLA system, 2004. Tissue
Antigens 65: 301-369.
7.
Wu YF, Wang LY, Lee TD, Lin HH, Hu CT, et al. (2004)
HLA phenotypes and outcomes of hepatitis B virus infection in Taiwan. J Med
Virol 72: 17-25.
8.
Mbarek H, Ochi H, Urabe Y, Kumar V, Kubo M, et al.
(2011) A genome-wide association study of chronic hepatitis B identified novel
risk locus in a Japanese population. Hum Mol Genet 20: 3884-3892.
9.
Nishida N, Sawai H, Matsuura K, Sugiyama M, Ahn SH,
et al. (2012) Genome-wide association study confirming association of HLA-DP
with protection against chronic hepatitis B and viral clearance in Japanese and
Korean. PLoS One 7: e39175.
10.
Kamatani Y, Wattanapokayakit S, Ochi H, Kawaguchi T,
Takahashi A, et al. (2009) A genome-wide association study identifies variants
in the HLA-DP locus associated with chronic hepatitis B in Asians. Nat Genet
41: 591.
11.
Jiang YG, Wang YM, Liu TH, Liu J (2003) Association
between HLA class II gene and susceptibility or resistance to chronic hepatitis
B. World J Gastroenterol 9: 2221.
12.
Karan MA, Tascioglu NE, Ozturk AO, Palanduz S, Carin
M (2002) The role of HLA antigens in chronic hepatitis B virus infection. J Pak
Med Assoc 52: 253-256.
13.
Nishida N, Sawai H, Kashiwase K, Minami M, Sugiyama
M, et al. (2014) New susceptibility and resistance HLA-DP alleles to
HBV-related diseases identified by a trans-ethnic association study in Asia.
PLoS One 9: e86449.
14.
Olerup O, Aldener A, Fogdell A (1993) HLA‐DQB1
and‐DQA1 typing by PCR amplification with sequence‐specific primers (PCR‐SSP)
in 2 h. Tissue antigens 41: 119-134.
15.
Chu CJ, Lok AS (2002) Clinical significance of
hepatitis B virus genotypes. Hepatology 35: 1274-1276.
16.
Wang FS (2003) Current status and prospects of
studies on human genetic alleles associated with hepatitis B virus infection.
World J Gastroenterol 9: 641.
17.
Thursz M (2001) Genetic susceptibility in chronic
viral hepatitis. Antiviral Res 52: 113-116.
18.
Frodsham AJ, Hill AV (2004) Genetics of infectious
diseases. Hum Mol Genet 13: 187-194.
19.
Yan Z, Tan S, Dan Y, Sun X, Deng G, et al. (2012)
Relationship between HLA-DP gene polymorphisms and clearance of chronic
hepatitis B virus infections: Case-control study and meta-analysis. Infect
Genet Evol 12: 1222-1228.
20.
Martinet J, Dufeu-Duchesne T, Costa JB, Larrat S,
Marlu A, et al. (2012) Altered functions of plasmacytoid dendritic cells and
reduced cytolytic activity of natural killer cells in patients with chronic HBV
infection. Gastroenterolgy 143: 1586-1596.
21.
Böcher WO, Galun E, Marcus H, Daudi N, Terkieltaub
D, et al. (2000) Reduced hepatitis B virus surface antigen-specific Th1 helper
cell frequency of chronic HBV carriers is associated with a failure to produce
antigen‐specific antibodies in the Trimera mouse. Hepatology 31: 480-487.
22.
Li J, Han YP, Liu B, Liu Y, Chen N, et al. (2011)
Dynamic changes and clinical significance of HBcAg18-27 specific cytotoxic T
lymphocytes in acute hepatitis B patients. Chin J Hepatol 19: 38-43.
23.
Apple RJ, Erlich HA, Klitz W, Manos MM, Becker TM,
et al. (1994) HLA DR-DQ associations with cervical carcinoma show
papillomavirus-type specificity. Nat Genet 6: 157.
24.
Fletcher GJ, Samuel P, Christdas J, Gnanamony M,
Ismail AM, et al. (2011) Association of HLA and TNF polymorphisms with the
outcome of HBV infection in the South Indian population. Genes Immunol 12: 552.
25.
Hwang SH, Sohn YH, Oh HB, Hwang CY, Lee SH, et al.
(2007) Human leukocyte antigen alleles and haplotypes associated with
chronicity of hepatitis B virus infection in Koreans. Arch Pathol Lab Med 131: 117-121.
26.
Chu RH, Ma LX, Wang G, Shao LH (2005) Influence of
HLA-DRB1 alleles and HBV genotypes on interferon-α therapy for chronic
hepatitis B. World J Gastroenterol 11: 4753.
27.
Thio CL, Carrington M, Marti D, O'brien SJ, Vlahov
D, et al. (1999) Class II HLA alleles and hepatitis B virus persistence in
African Americans. J Infect Dis 179: 1004-1006.
28.
Huang J, Xiong L, Wang J, Liu Y, Zhu Q, et al.
(2016) Association between the HLA-DQB1 polymorphisms and the susceptibility of
chronic hepatitis B: A comprehensive meta-analysis. Biomed Rep 4: 557-566.
29.
Bruno MC, Edmundo PA, Maria FP, Militao A, Lucia D
(2012) Association between HLA-DRB1* polymorphisms and hepatitis B infection in
a Brazilian population. Rev Assoc Med Bras 58: 537-542.
30.
Blumberg BS, Sutnick AI, London WT, Melartin L
(1972) Sex distribution of Australia antigen. Arch Intern Med 130: 227-231.
31.
Ott JJ, Stevens GA, Groeger J, Wiersma ST (2012)
Global epidemiology of hepatitis B virus infection: New estimates of
age-specific HBsAg seroprevalence and endemicity. Vaccine 30: 2212-2219.
32.
Hussein NR, Daniel S (2017) A study of hepatitis B virus
associated risk factors in patients attending hepatitis unit in Duhok city,
Iraq, Arch Clin Infect Dis 12: 62420.
33.
Andrade AF, Oliveira-Silva M, Silva SG, Motta IJ,
Bonvicino CR (2006) Seroprevalence of hepatitis B and C virus markers among
blood donors in Rio de Janeiro, Brazil, 1998-2005. Mem Inst Oswaldo Cruz 101: 673-676.
34.
Forbi JC, Gabadi S, Alabi R, Iperepolu HO, Pam CR
(2007) The role of triple infection with hepatitis B virus, hepatitis C virus
and human immunodeficiency virus (HIV) type 1 on CD4+ lymphocyte levels in the
highly HIV infected population of North central Nigeria. Mem Inst Oswaldo Cruz
102: 535-537.
35.
Tandon BN, Acharya SK, Tandon A (1996) Epidemiology
of hepatitis B virus infection in India. Gut 38: S56-59.
36.
Kamkamidze G, Kikvidze T, Butsashvili M,
Chubinishvili O (2014) Factors associated with persistence of hepatitis B virus
infection. J Liver 3: 153.
37.
Nazzal Z, Sobuh I (2014) Risk factors of hepatitis B
transmission in northern Palestine: A case-control study. BMC Res Notes 7: 190.
QUICK LINKS
- SUBMIT MANUSCRIPT
- RECOMMEND THE JOURNAL
-
SUBSCRIBE FOR ALERTS
RELATED JOURNALS
- Ophthalmology Clinics and Research (ISSN:2638-115X)
- International Journal of Surgery and Invasive Procedures (ISSN:2640-0820)
- International Journal of Anaesthesia and Research (ISSN:2641-399X)
- International Journal of Clinical Case Studies and Reports (ISSN:2641-5771)
- Journal of Forensic Research and Criminal Investigation (ISSN: 2640-0846)
- Journal of Spine Diseases
- Journal of Cell Signaling & Damage-Associated Molecular Patterns




