4075
Views & Citations3075
Likes & Shares
Keywords: Bladder Diverticulum, Carcinosarcoma, Computed Tomography, Diverticulectomy,
Chemotherapy, Radiotherapy
Clinical Presentation
A 53-year-old man
presented in our department with symptoms of bladder irritation and painless
hematuria. Laboratory was unremarkable, but urinalysis revealed microscopic
hematuria. Urinary cytology revealed porely differentiated tumor. The cytogram
phase of excretory urography showed large extrinsic impression of the left side
of the urinary bladder (Figure 1) A CT scan of the pelvis (Figure
2) showed an irregular contrast enhancing tumor mass filling bladder
diverticulum and measuring 6 cm in diameter. The patient underwent transvesical
diverticulectomy along with tumor mass and regional pelvic lymph node
dissection. Pathology identified a 6x5 cm intradiverticular
solid tumor and established the diagnosis of carcinosarcoma with extension to
the perivesical fat (Figure 3) The lymph nodes and resected margins were
negative of tumor. The
patient did well postoperatively, and his symptoms completely resolved. Due to
poor prognostic features of resected tumor, the oncology board decided to treat
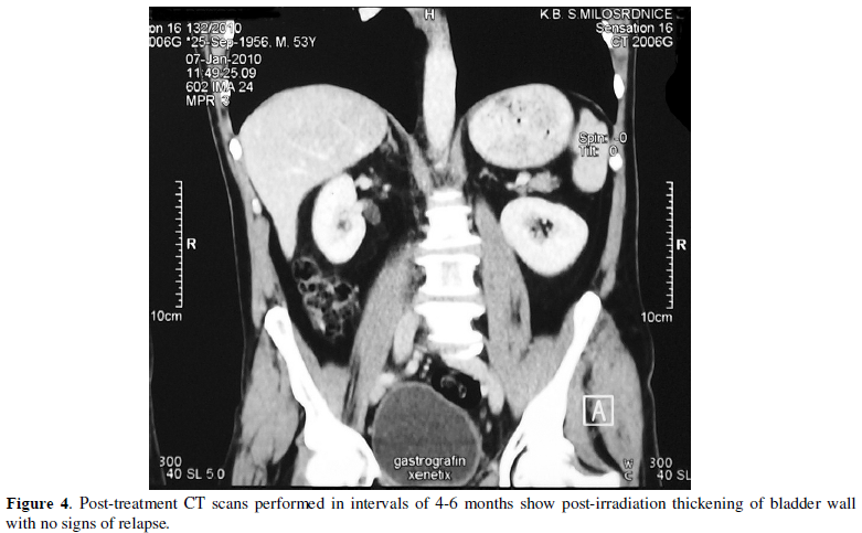
the patient with adjuvant chemotherapy and radiotherapy. Six months postoperatively pelvic CT scan (Figure
4) and cystoscopy were unremarkable.
DISCUSSSION
The majority of bladder cancers originate from the
urothelium (1,2). The overall reported
incidence of neoplasm arising in urinary bladder diverticulum varies from 2.9%
to 4.0% and these neoplasms have a poorer prognosis than tumors arising within
the urinary bladder lumen (2,3). Most intradiverticular tumors are urothelial
carcinomas and only a minor portion is the other histologic type (1,2).
Carcinosarcoma is an unusual neoplasm that shows a mixture of malignant
epithelial and malignant mesenchymal components (4,5). Chronic infection,
irritation, smoking, cyclophosphamide, and radiotherapy are considered to play
a role in the etiology of carcinosarcomas (4). Intradiverticular
carcinosarcomas, though rare, carry a poor prognosis due to the aggressiveness of
the tumor and early invasion. The bladder diverticulum, lacking a muscular
wall, is easily infiltrated by the tumor, resulting in perivesical extension as
seen in our case. This necessitates early diagnosis and aggressive treatment in
these tumors. There are no standard guidelines for management of this rare
tumor type. Recently, radical surgery plus various combinations of neoadjuvant
or adjuvant chemotherapy and/or radiotherapy has been suggested by some authors
(4,5). However, the outcomes have been extremely variable and inconsistent (5).
Our patient was treated successfully and remained
free from the disease despite the non-radical approach
Nuwahid F, German K, Campbell F, Stephenson T.
Carcinosarcoma in a bladder diverticulum. Urology 1994; 44: 775–8.
2. Knappenberger ST, Uson AC, Melicow MM. Primary
neoplasms occurring in vesical diverticula: a report of 18 cases. J Urol.
1960;83:153–159.
3. Stimac G, Knežević M, Grubišić I, Soipi S, Tomas
D, et al. A rare case of squamous cell carcinoma in urinary bladder
diverticulum successfully treated by bladder-sparing surgery. Acta Clin Croat.
2015 Sep;54(3):363-6.
4. Halachmi S, DeMarzo AM, Chow NH, Halachmi
N, Smith AE, et al. Genetic alterations in urinary bladder carcinosarcoma:
evidence of a common clonal origin. Eur Urol. 2000; 37:350-7.
5. Cheng
CW, Ng MT, Cheung HY, Sun WH, Chan LW, et al. Carcinosarcoma of the bladder diverticulum and
a review of the literature. Int J Urol. 2004 Dec;
11(12): 1136-8.
QUICK LINKS
- SUBMIT MANUSCRIPT
- RECOMMEND THE JOURNAL
-
SUBSCRIBE FOR ALERTS
RELATED JOURNALS
- Journal of Blood Transfusions and Diseases (ISSN:2641-4023)
- Journal of Nursing and Occupational Health (ISSN: 2640-0845)
- Journal of Rheumatology Research (ISSN:2641-6999)
- Archive of Obstetrics Gynecology and Reproductive Medicine (ISSN:2640-2297)
- Journal of Carcinogenesis and Mutagenesis Research (ISSN: 2643-0541)
- Journal of Infectious Diseases and Research (ISSN: 2688-6537)
- Advance Research on Alzheimers and Parkinsons Disease





