4501
Views & Citations3501
Likes & Shares
Background:
The immunopathogenic role of common environmental allergens such as house
dust mite (HDM) in the development of skin lesions in atopic dermatitis (AD)
has not been precisely clarified.
Objectives:
In the present study, we evaluated the localization of Der f1, the major
antigen of Dermatophagoides farinae, with IgE-positive epidermal and dermal dendritic cells (DCs)
in skin lesions of older patients with AD and allergic sensitization to HDMs.
Methods:
Four biopsied specimens (uninvolved skin, n=1; atopy patch test-induced
erythema, n=1; lichenified lesions, n=2) from patients with IgE-allergic AD
were analyzed by single immunohistochemical staining, double immunofluorescence
staining, and immunohistochemical re-staining.
Results:
Few IgE-bearing inflammatory DCs (IgE+ CD11c+ cells) were observed in
uninvolved skin. After 48-h challenge with D. farina antigens, infiltrating IgE-bearing
inflammatory dendritic epidermal cells (IDECs; IgE+ CD1a+ CD11c+ cells) formed a cluster in the spongiosis in
atopy patch test-induced erythema. In
the chronic active lichenified lesion, IgE-bearing IDECs were observed
in the central area of the spongiosis. Additionally, IgE-bearing Langerhans
cells (LCs) with Der f1 (IgE+ CD1a+ CD207+Der f1+ cells) were present in the
peripheral area of the spongiosis associated with inflammatory infiltrating
cells mainly comprising CD8+ cells. In
the chronic lichenified lesion, IgE-bearing IDECs existed mostly in the
lower epidermis, IgE-bearing LCs with Der f1 existed in the stratum malpighii
including the area under tight junctions, and IgE-bearing IDEC-like dermal DCs
with Der f1 (IgE+ CD1a- or CD1a+/- CD11+ Der f1+ cells) existed in the upper
dermis.
Conclusion:
These results suggest that HDM allergens such as Der f1 are involved in
the immunopathogenesis of eczematous dermatitis of IgE-allergic AD, in which
IgE-associated delayed-type hypersensitivity may develop with the collaboration
of IgE-bearing DCs and T cells.
Keywords:
Der f1, Dermal dendritic cells, Immunopathogenesis, Inflammatory
dendritic epidermal cells, Langerhans cells, Spongiosis
INTRODUCTION
In the present study, we demonstrate the
localization of Der f1 antigens, one of the major allergens of HDMs (Dermatophagoides farinae), is associated with IgE-bearing epidermal and dermal DCs including
LCs and IDECs in skin lesions of older patients with AD and allergic
sensitization to HDMs. We also discuss a possible role of HDM allergens in the
pathomechanism of eczematous dermatitis in IgE-allergic AD.
SUBJECTS AND METHODS
Skin samples and Subjects
Skin biopsy specimens were obtained from
chronic lichenified lesions of two patients (Cases 1 and 2), and atopy patch
test (APT)-induced infiltrated
erythema (48h after APT) and uninvolved skin on the upper back of Case 1. Brief
clinical reports of Cases 1 and 2 have been described in our previous reports
[9,10]. AD was diagnosed according to the clinical criteria of Hanifin and
Rajka [11]. Based on positive findings of Der f1 antigens in our preliminary immunohistological studies performed in six patients (adult, 1; older,
5) with IgE-allergic AD, we selected skin samples of Cases 1 and 2 for detailed
analyses.
A biopsy was performed on the lichenified
lesions with therapy-free interval of topical corticosteroids for a few weeks
in Case 1 and without therapy-free interval of topical corticosteroids
(medium-class) in Case 2. As a control, a skin sample was obtained from an
older patient with eosinophilic granulomatosis with polyangiitis.
AD patients and the control subject all
provided written informed consent for every biopsy and research use of all
specimens. The study protocols were approved by the Ethics Committee of the
Tokyo Metropolitan Geriatric Hospital and Institute of Gerontology (No.
R15-42).
Histological, immunohistochemical and double immunofluorescence
staining
Single immunohistochemical staining was
performed using the streptavidin-biotin method with an LSAB kit (Dako, Tokyo,
Japan). Double immunofluorescence staining was performed as previously
described [10]. The streptavidin-fluoresce in conjugates used
were DyLight488 streptavidin (SA-5488; Vector, Burlingame, CA, USA) and DyLight594 streptavidin
(SA-5594; Vector). Double immunofluorescence stained sections were
viewed under fluorescence microscopy (BIOREVO BZ-9000; Keyence, Osaka,
Japan).Double immunofluorescence staining was performed with anti-IgE and
anti-CD11c monoclonal antibodies
(mAbs), anti-IgE mAbs and anti-Derf1 polyclonal
antibodies (pAbs), and anti-CD1a mAbs and anti-Derf1 pAbs. Immunohistochemical re-staining with
anti-CD1a or anti-CD207 mAbs was
carried out after image recording of double immunofluorescence staining. For
specificity enhancement, immunohistochemical re-staining was carried out after deactivation of the
secondary antibodies in double immunofluorescence staining by using a
citric acid buffer in most sections.
The following primary mAbs and pAbs were
applied: mouse mAbs against CD4 (helper/inducer T cells, #713181; Nichirei,
Tokyo, Japan), CD8 (cytotoxic/suppressor T cells, #713201; Nichirei), CD68
(macrophages, N1576; Dako), CD1a (LCs/DCs, NCL-CD1a-235; Novocastra, Newcastle,
UK), CD207 (LCs, ABIN1027332; antibodies-online.com, Atlanta, GA, USA), mast cell
tryptase (mast cells, AA1; Abcam, Tokyo, Japan), and IgE ε-chain (IgE; MH25-1;
Santa Cruz Biotechnology, Santa Cruz, CA, USA); rabbit mAbs to CD11c
(dermal/epidermal DCs, EP1347Y; LSBio, Seattle, WA, USA); and rabbit pAbs to Der f1 (mite Der f1, LB-7111;
Cosmo Bio, Tokyo, Japan). Dilution
ratios for primary antibodies were as follows: 1:30 for anti-CD1a; 1:250 for
anti-CD11c; 1:200 for anti-IgE; and 1:1000 for anti-Der f1. The other primary
antibodies were applied as ready to use.
RESULTS
Case presentations
Case 1
An 84-year-old Japanese man had chronic
eczema from his 50s and exteriorization
of a pathological state of AD from his
60s. He showed lichenified eczema on the face, neck, upper trunk, and upper
extremities. Laboratory data indicated the following: white blood cell count of
5,140/mm3 with 7% eosinophils, total IgE of 19,757 IU/ml, and specific IgEs for D. farinae as class 5 (120–159 lumi count)
detected in multiple antigen simultaneous test (MAST)-33 (BML, Tokyo, Japan) [9]. APT using D. farinae allergen extracts(Torii, Tokyo, Japan) indicated
positive results as erythema and infiltration (single positive using criteria for reading APT [12]) on the
uninvolved skin of his upper back.
Case 2
A 71-year-old Japanese man who had a 10-year
history of AD was referred to our department. He had a history of classic
childhood AD until 5 years of age. He presented with atopic red face and diffuses
lichenified eczema on the trunk and extremities. Laboratory data showed the
following: white blood cell count of 7,130/mm3 with 14% eosinophils, total IgE of2,413 IU/ml, and
specific IgEs for D. farinae
detected inMAST-26 (BML)as class 3 (20.1–99.9 lumi count)
[10].
Control case
A 78-year-old Japanese man who had purpuric skin lesions on the legs and respiratory manifestations
of eosinophilic granulomatosis with polyangiitis was referred to our
department. He showed an elevated serum total IgE level of 3,007 IU/ml and weak
positivity for specific IgEs for D. farinae.
Immunohistological analyses
Results of immunohistochemical and double
immunofluorescence studies are summarized in table 1.
Uninvolved skin in
Case 1
Paraffin sections: A biopsy specimen of the uninvolved skin of the older AD patient
demonstrated almost normal histology with no obvious inflammatory infiltration.
Immunostaining of serial sections showed IgE+ cells, with a similar
distribution to tryptase+ mast cells, evenly distributed throughout the dermis.
Few IgE+ cells were observed in the epidermis in paraffin sections.
Frozen sections: In double immunofluorescence stained sections
with anti-IgE and anti-CD11c mAbs, few double-positive IgE+ CD11c+ cells were
observed in the uninvolved skin. IgE+ cells were observed both in the epidermis
and the upper dermis, however, few CD11c+ cells were seen in the upper dermis.
Single-positive IgE+ cells in the epidermis showed dendritic morphology and
even distribution (Figure 1a).
Immunohistochemical re-staining indicated that single-positive IgE+ cells in
the epidermis were strongly positive for CD1a antigens, however, the numbers of
IgE+CD1a+ cells were much fewer than those ofIgE-CD1a+ cells (Figure 1a, 1b). In sections stained
with anti-IgE mAbs and anti-Derf1 pAbs and anti-CD1a mAbs and anti-Derf1 pAbs,
neither double-positive IgE+ Derf1+ cells nor double-positive CD1a+ Derf1+
cells were observed in the epidermis and dermis in the uninvolved skin.
APT-positive acute
lesion in Case 1
Paraffin sections: A biopsy specimen of the APT-positive acute lesion of the older AD
patient showed a histopathology of mild spongiotic dermatitis. Immunostaining
showed inflammatory cell infiltrations with IgE+ cells in the upper dermis. The
majority of IgE+ cells co-localized with tryptase+ mast cells in serial
sections. Small numbers of IgE+ cells, CD4+
cells and CD8+ cells were
observed in the lower epidermis in association with a spongiotic formation.
Frozen sections: In sections stained with anti-IgE and
anti-CD11c mAbs, a few infiltrating double-positive IgE+ CD11c+ cells were
observed in the upper dermis, and small numbers of IgE+ CD11c+/- (weak) cells,
which showed lower immunofluorescence intensity for CD11c antigens, were seen
in the spongiotic epidermis (Figure 1c).
Immunohistochemical re-staining indicated that double-positive IgE+ CD11c+
cells in the upper dermis and IgE+ CD11c+/- cells in the spongiotic epidermis were
positive for CD1a antigens (Figure 1d),
and IgE+ CD11c+/- CD1a+ cells aggregated in the spongiosis (Figure 1c,1d). Additionally, comparative analysis of single immunohistochemical stained serial
sections revealed that infiltrating IgE+
cells in the spongiosis showed
the same morphology and distribution of CD11c+ cells and CD1a+ cells as
aggregated cells in the spongiosis.
Moreover, the aggregation of IgE+ CD11c+ CD1a+ cells observed in the
subcorneal epidermis might indicate the possibility of transepidermal
elimination of those cells (Figure
1e-1g).
In sections stained with anti-IgE mAbs and anti-Derf1 pAbs, small
numbers of double-positive IgE+ Derf1+ cells with dendritic morphology were
infrequently observed in the spongiotic epidermis and the upper dermis.
Immunohistochemical re-staining demonstrated that double-positive IgE+ Derf1+
cells in the epidermis were mostly positive for CD1a and CD207 antigens (Figure 2a-2d). A few IgE+ CD207+Derf1+
cells were assembled focally or existed adjacent to the spongiosis in the epidermis,
however, no IgE+ CD207+ Der f1+ cells were seen in the central area of the
spongiosis (Figure 2a-2d). Only a
few IgE+ CD207-Derf1+ cells were observed in the epidermis. In addition, double
immunofluorescence staining with anti-CD1a mAbs and anti-Derf1 pAbs also
revealed the presence of double-positive CD1a+ Derf1+ cells in the spongiotic
epidermis.
Taking together, the aforementioned results suggest that IgE+ cells in
the spongiotic epidermis, which respond to D. farinae antigens, are
chiefly composed of two types of DCs: IgE+CD11c+CD1a+ cells, i.e., IgE-bearing IDECs, and IgE+CD1a+ CD207+
cells, i.e., IgE-bearing LCs that
mostly present with Der f1. From the different localization patterns of
the two types of DCs, i.e., IgE-bearing
IDECs that mainly infiltrated in the central area of the spongiosis and IgE-bearing LCs with Der f1 that existed
adjacent to the spongiosis, these DCs might play different roles in the
development of spongiotic dermatitis in the APT-positive acute lesion in Case
1.
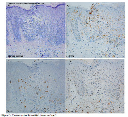
Chronic active
lichenified lesion in Case 2
Paraffin sections: The lichenified skin of Case 2
showed a chronic active lesion of eczematous dermatitis, which had acanthosis
with focal spongiosis in the epidermis and inflammatory cell infiltrations in
the upper dermis. Single immunohistochemical staining revealed dermal
infiltration of inflammatory cells, mainly comprising CD4+ cells, CD8+ cells,
CD68+ cells, tryptase+ mast cells, and IgE+ cells. Comparative analysis
of serial sections revealed that many infiltrating IgE+ cells displayed the
same localization pattern as tryptase+
mast cells, however, the numbers of IgE+ cells were more numerous. IgE+ cells were not observed in the
epidermis of this case in paraffin sections [10].
In the epidermis, epidermal CD1a+ cells were observed focally in the central
area of the spongiosis and scattered throughout the stratum spinosum of the epidermis. Cellular infiltrations
mainly composed of CD8+ cells were observed in the lower to middle areas of the
spongiosis (Figure 3a-3d).
Frozen sections: In double immunofluorescence stained sections with anti-IgE and anti-Derf1 mAbs, a few double-positive IgE+ Der f1+ cells were observed in the lower to middle areas of the epidermis, especially in the peripheral area of a spongiotic formation, but not in the central area of the spongiosis (Figure 4a).
Therefore, it was evident that IgE+ CD1a+ CD207+Der f1+ cells,
i.e., IgE-bearing LCs with Der f1antigens, existed in the peripheral area of
the spongiosis (Figure 4a-4d). The
approximate numbers of double-positive cells per microscopic field (200×) in
areas with the highest numbers of positive cells among four consecutively
evaluated fields were determined as follows. In the area with spongiosis, 4
IgE+ Der f1+ cells in the epidermis and 0 in the upper dermis were observed and
11 CD1a+ Der f1+ cells in the
epidermis and 1 in the upper dermis were observed. In the area without spongiosis, 2 IgE+ Der f1+ cells in the
epidermis and 0 in the upper dermis were observed and 3 CD1a+ Der f1+ cells in the epidermis and 1 in the
upper dermis were observed.
Double immunofluorescence staining with
anti-IgE and anti-CD11c mAbs revealed the following results. Infiltrating
double-positive IgE+ CD11c+ cells with dendritic morphology were prominently
observed in the central area of the spongiosis (Figure 4e). Infiltrating double-positive IgE+ CD11c+ cells were
also observed in the parakeratotic horny layer above the spongiosis. In areas
without a spongiotic epidermis, a few IgE+ CD11c+ cells and IgE+ CD11c- cells,
which exhibited dendritic morphology, were also observed in the lower
epidermis, although infiltrating double-positive IgE+ CD11c+ cells were mainly
observed in the upper dermis in those areas [10]. Immunohistochemical
re-staining indicated that double-positive IgE+ CD11c+ cells and single-positive
IgE+ cells in the epidermis were positive or weakly positive for CD1a antigens
(Figure 4e, 4f). The majority of
infiltrating double-positive IgE+ CD11c+ cells in the upper dermis was negative
for CD1a antigens, although a few double-positive IgE+ CD11c+ cells positive
for CD1a antigens certainly existed. Many IgE- CD11c- CD1a+ DCs, which showed
strong staining for CD1a antigens, were present in the upper epidermis.
Consequently, infiltrating IgE+ CD1a+ CD11c+ cells into the spongiotic
epidermis in the chronic active lichenified lesion of the AD patient were
thought to be IgE-bearing IDECs. Single immunohistochemical stained serial
sections revealed cellular infiltration of CD8+ and CD4+ cells into the area
with spongiosis.
Taken together, the aforementioned results demonstrate that in the
spongiotic epidermis of the chronic active lichenified lesion in Case 2,
IgE-bearing IDECs mostly infiltrated the central area of the spongiosis.
IgE-bearing LCs with Der f1antigens were mainly present in the peripheral area
of the spongiosis, in which cellular infiltrations mainly composed of CD8+ cells were also observed.
Chronic lichenified
lesion in Case 1
Paraffin sections: The lichenified skin of Case 1
showed a chronic eczematous reaction with no focal spongiotic change. Single
immunohistochemical staining with a comparative analysis of serial
sections revealed the characteristics
of inflammatory infiltrating cells as similar to those observed in the chronic
lichenified lesion in Case 2.
Frozen sections: The findings of double immunofluorescence
staining with anti-IgE and anti- CD11c mAbs and immunohistochemical re-staining
with CD1a mAbs were similar to the findings of areas without spongiotic
formation in Case 2 (Figure 5a,5b).
IgE+CD11+ cells were infrequently observed in the lower (especially basal)
epidermis. In double immunofluorescence sections stained with anti-IgE mAbs and
anti-Derf1 pAbs, small numbers of double-positive IgE+ Der f1+ cells were
observed both in the epidermis and upper dermis (Figure 5c). Immunohistochemical re-staining indicated that
double-positive IgE+ Derf1+ cells in the epidermis were strongly positive for
CD1a antigens, whereas most double-positive IgE+ Derf1+ cells in the upper
dermis were negative for CD1a antigens (Figure
5c,5d). In addition, most double-positive IgE+ Derf1+ cells in the stratum
malpighii, but not in the upper dermis, were also positive for CD207 antigens.
Some IgE+ CD207+Derf1+ cells that existed in the area under the tight junctions
(TJs; physical barriers at the stratum granulosum layer of the epidermis) had
elongated dendrites into the TJs (Figure
5e,5f). Double immunofluorescence staining with anti-CD1a mAbs and
anti-Derf1 pAbs revealed that small numbers of double-positive CD1a+ Derf1+
cells were also observed both in the epidermis and in the upper dermis. The
approximate numbers of double-positive cells per microscopic field (200´) in areas with the highest numbers
of positive cells among four consecutively evaluated fields were as follows: 4
IgE+ Def1+ cells in the epidermis and 12 in the upper dermis, and 6 CD1a+ Def1+
cells in the epidermis and 6 in
the upper dermis. Comparative
analysis of double immunofluorescence stained serial sections with anti-IgE and
anti-CD11c mAbs and anti-IgE mAbs and anti-Derf1 pAbs demonstrated that the majority of double-positive IgE+ Derf1+
cells co-localized with double-positive IgE+ CD11c+ cells in the upper dermis (Figure 5g, 5h).
Taken into consideration the aforementioned results, in the chronic
lichenified lesion in Case 1, double-positive IgE+Der f1+ cells in the
epidermis are mostly composed of IgE+CD1a+CD207+ cells, i.e., IgE-bearing LCs.
Regarding double-positive IgE+ Der f1+ cells in the upper dermis, the precise
phenotype was incomplete, however, the majority of infiltrating IgE+ Der f1+
cells in the upper dermis might be IgE+ CD1a- CD11+cells, i.e., a subset of
IgE-bearing inflammatory DCs that might differ from IgE-bearing IDECs [5].
Control case of eosinophilic granulomatosis with polyangiitis
Paraffin sections: A biopsy specimen of a purpuric skin lesion of an older patient with eosinophilic granulomatosis with polyangiitis
showed leukocytoclastic vasculitis. Immunostaining of serial sections showed
moderate numbers of IgE+ cells, with similar distribution to tryptase+ mast
cells, in the upper dermis.
Frozen sections: Double immunofluorescence sections stained with anti-IgE and
anti-CD11c mAbs and subsequent immunohistochemical re-staining with anti-CD1a
mAbs revealed the following results. Single-positive IgE+ cells were observed
mainly in the upper dermis and slightly in the epidermis, however, few CD11c+
cells were seen in the upper dermis. Single-positive IgE+ cells in the
epidermis showed dendritic morphology and were positive for CD1a antigens. In
double immunofluorescence sections stained for anti-IgE mAbs and anti-Derf1
pAbs, no double-positive IgE+ Der f1+ cells were observed in the vasculitis
skin lesion.
Some of the results of the control case were previously reported in our
other studies [13,14].
DISCUSSION
In the present immunohistological studies, we analyzed the localization
of Der f1 antigens with IgE-bearing
myeloid DCs in skin lesions from older patients with AD and allergic
sensitization to HDMs (D.
farinae). The immunohistopathological analyses demonstrated some
interesting findings. (1) Few IgE-bearing inflammatory DCs (IgE+ CD11c+ cells)
[10], possibly associated with the lack of IgE+ Derf1+ cells and CD1a+ Der
f1+cells, were observed in the uninvolved skin of the patient with IgE-allergic
AD (Case 1). (2) After 48-h allergen challenge with D. farinae, IgE-bearing inflammatory DCs (IgE+
CD1a+ CD11c+ cells; “dermal” IDECs) appeared in the upper dermis. These
IgE-bearing IDECs infiltrated the epidermis of the APT-positive acute lesion in
the uninvolved skin and aggregated in clusters in the spongiosis, which
appeared to exhibit potential transepidermal
elimination (Case 1). (3) In the chronic active lichenified lesion of
patients with IgE-allergic AD, IgE-bearing IDECs were observed in the central area
of the spongiosis and in the parakeratotic
horny layer above the spongiosis. Additionally, IgE-bearing LCs with Der
f1antigens (IgE+ CD1a+ CD207+Der f1+ cells) were present in the peripheral area
of the spongiosis and associated with inflammatory infiltration mainly comprising CD8+ cells (Case 2). (4) In the chronic lichenified lesion of patients with
IgE-allergic AD, IgE-bearing IDECs were mostly located in the lower epidermis,
and IgE-bearing LCs with Der f1antigens (IgE+ CD1a+ CD207+ Der f1+cells) were
present in the stratum malpighii. IgE+ Der f1+ cells in the upper dermis were
thought to be composed mainly of IgE+ CD1a- CD11+ Der f1+ cells, i.e., a subset
of IgE-bearing inflammatory “dermal” DCs [5,15] that might differ from
IgE-bearing IDECs (Case 1). (5)
In the control case of eosinophilic
granulomatosis with polyangiitis, neither double-positive IgE+ CD11c+
cells nor double-positive IgE+ Der f1+ cells were observed in the epidermis and
upper dermis of the cutaneous vasculitis.
The validity of the present results may be supported by several previous
studies. Past experiments using APT as a model for early active lesion of AD
have shown that the uninvolved skin of patients with AD does not contain
relevant numbers of IDECs. However, a rapid influx of IDECs in the epidermis
occurs within 72h after allergen application [16] and forms focal aggregates of
epidermal DCs clusters mainly composed of IDECs with intermingled Foxp3+ T
regulatory cells [17]. We consider that the results of the APT-positive acute
lesion in the uninvolved skin in Case 1 showed similar findings, although an
analysis of Foxp3+ T regulatory cells was not performed in our study.
Additionally, we speculate that naturally occurring spongiosis of the chronic
active lichenified lesion in Case 2 might demonstrate a similar pathomechanism
as the APT-induced acute lesion in Case 1 because immunohistopathology of both
lesions demonstrated the presence of IgE-bearing IDECs in the central area of
the spongiosis, surrounded by IgE-bearing LCs with Der f1antigens. Furthermore,
based on the distributions of IgE-bearing IDECs and IgE-bearing LCs with Der
f1antigens, we speculate that, similar to inflammatory DCs against parasitic
infection [18,19], IgE-bearing IDECs act as an initial defense against invading
antigens (i.e., Der f1 antigens). IgE-bearing IDECs then eliminate the antigens
with tissue damage (e.g., keratinocyte apoptosis) via proinflammatory cytokines
(e.g., tumor necrosis factor-alpha [20]) in cooperation with IgE-bearing LCs
that cross-present the specific antigens (i.e., Der f1 antigen) to
interferon-γ-producing effector (CD8+) T cells. This may explain the
characteristic spongiosis observed in skin lesions of patients with
IgE-allergic AD and HDM sensitization [21-24]. However, the precise roles of
epidermal LCs and IDECs with or without specific IgEs in the skin lesions of
patients with IgE-allergic AD remain unclear.
In a recent study of adult patients with AD, distinct behavior and
localization patterns of LCs and IDECs in the lesional skin were revealed.
Activated LCs increased in the area underneath the TJs and extended their
dendrites through the TJs, likely to capture antigens from outside the TJ
barrier, while IDECs localized to the lower area of the epidermis [25]. In the
present study, we confirmed the presence of IgE-bearing LCs that captured Der
f1antigens underneath the TJs, and IgE-bearing IDECs mostly localized to the
lower epidermis in the chronic
lichenified lesion of a patient with IgE-allergic AD and HDM sensitization
(Case 1).
In previous studies, the existence of HDM antigens (D. farinae and D. pteronyssinus) in the
epidermis and dermis coincident with DCs in naturally occurring AD lesions [26]
and IgE+ DCs in the site of ATP for HDMs [27] was demonstrated in adult
patients with IgE-allergic AD and HDM sensitization. In naturally occurring AD
lesions, HDM antigens were found in 61.3% (19 of 31) of patients with
IgE-allergic AD and HDM sensitization, and most HDM antigens were seen on the
surface of CD1a (OKT6)-positive DCs in the dermis [26]. In the present study,
we also observed CD1a+ DCs with Der f1antigens in the upper dermis in the chronic lichenified lesion of
a patient with IgE-allergic AD (Case 1). However, the majority of IgE+ Der f1+
cells in the upper dermis were CD1a-. It has been suggested that dermal CD11c+
myeloid DCs may have remarkable plasticity [5], therefore, we speculate that
the majority of IgE+ Der f1+ cells in the upper dermis might be a subset of
IgE-bearing IDEC-like dermal DCs (IgE+ CD1a- CD11+ cells or IgE+ CD1a+/-(weak)
CD11+ cells). Another cell phenotype that may be responsible for IgE+ CD1a- Der
f1+ cells in the upper dermis might be IgE-bearing plasmacytoid DCs [4],
however, this subset was not analyzed in the present study.
There are some limitations associated with this study, including the
inherent technical limitations of immunohistological analyses and the small
sample size. Nevertheless, the results of the present study suggested that HDM allergens such as Der f1 are
involved in the immunopathogenesis of eczematous dermatitis of IgE-allergic AD,
in which IgE-associated delayed-type hypersensitivity may develop with the
collaboration of IgE-bearing DCs (i.e., LCs, IDECs, and IDEC-like DCs) and
specific T cells.
- Bieber
T (2008) Atopic dermatitis. N Engl J Med 358: 1483-1494.
- Werfel
T, Allam JP, Biedermann T, Eyerich K, Gilles S, Guttman-Yassky E, et al.
(2016) Cellular and molecular immunologic mechanisms in patients with
atopic dermatitis. J Allergy ClinImmunol 138: 336–349.
- Wollenberg
A (2006) Inflammatory dendritic epidermal cells. In: Ring J, Przybilla B,
Ruzicka T, editors. Handbook of atopic eczema. (2nd edn), Springer,
Berlin.
- Stary
G, Bangert C, Stingl G, Kopp T (2005) Dendritic cells in atopic
dermatitis: expression of FcєRI on two distinct inflammation-associated
subsets. Int Arch Allergy Immunol 138: 278-290.
- Guttman-Yassky
E, Lowes MA, Fuentes-Duculan J, Whynot J, Novitskaya I, et al. (2007)
Major differences in inflammatory dendritic cells and their products
distinguish atopic dermatitis from psoriasis. J Allergy Clin Immunol 119:
1210–1217.
- Gros
E, Novak N (2012) Cutaneous dendritic cells in allergic inflammation. Clin
Exp Allergy 42: 1161-1175.
- Said
A, Weindl G (2015) Regulation of Dendritic Cell Function in Inflammation.
J Immunol Res 2015: 743169.
- Bieber
T (1997) Fc epsilon RI-expressing antigen-presenting cells: new players in
the atopic game. Immunol Today 18: 311-313.
- Tanei
R, Noguchi E (2016) Elderly atopic dermatitis in a father and daughter
associated with MHC class II allele HLA-DRB1*1501. Dermatol Clin Res 2.
- Tanei
R, Hasegawa Y, Sawabe M (2013). Abundant immunoglobulin E-positive cells
in skin lesions support an allergic etiology of atopic dermatitis in the
elderly. J Eur Acad Dermatol Venereol 27: 952–60.
- Hanifin
JM, Rajka G (1980) Diagnostic features of atopic dermatitis. Acta
Dermatovener 92: 44-47.
- Darsow
U, Ring J (2008) Immunoglobulin E-mediated allergy plays a role in atopic
eczema as shown in the atopy patch test. World Allergy Organ J 1: 51-56.
- Tanei
R, Hasegawa Y (2016) Atopic dermatitis in older adults: A viewpoint from
geriatric dermatology. Geriatr Gerontol Int 16 Suppl 1: 75-86.
- Tanei
R (2017) Senile atopic dermatitis. In: Katayama I, Murota H, Satoh T,
editors. Evolution of atopic dermatitis in the 21st century. Springer,
Berlin.
- Zaba
LC, Krueger JG, Lowes MA (2009) Resident and "inflammatory"
dendritic cells in human skin. J Invest Dermatol 129: 302-308.
- Kerschenlohr
K, Decard S, Przybilla B, Wollenberg A (2003) Atopy patch test reactions
show a rapid influx of inflammatory dendritic epidermal cells in patients
with extrinsic atopic dermatitis and patients with intrinsic atopic
dermatitis. J Allergy ClinImmunol; 111: 869–874.
- Szegedi
A , Baráth S, Nagy G, Szodoray P, Gál M, et al.
(2009) Regulatory T cells in atopic dermatitis: epidermal dendritic cell
clusters may contribute their local expansion. Br J Dermatol 160: 984-993.
- Guilliams
M, Movahedi K, Bosschaerts T, VandenDriessche T, Chuah MK, et al. (2009)
IL-10 Dampens TNF/Inducible Nitric Oxide Synthase-Producing Dendritic Cell-Mediated
Pathogenicity during Parasitic Infection. J Immunol 182: 1107-1118.
- Hespel
C, Moser M (2012) Role of inflammatory dendritic cells in innate and
adaptive immunity. Eur J Immunol 42: 2535-2543.
- Zimmermann
M, Koreck A, Meyer N, Basinski T, Meiler F, et al. (2011) TNF-like weak
inducer of apoptosis (TWEAK) and TNF-α cooperate in the induction of
keratinocyte apoptosis. J Allergy Clin Immunol 127: 200–207.
- Trautmann
A, Akdis M, Kleemann D, Altznauer F, Simon HU, et al. (2000) T
cell-mediated Fas-induced keratinocyte apoptosis plays a key pathogenetic
role in eczematous dermatitis. J Clin Invest 106: 25-35.
- Yawalkar
N, Schmid S, Braathen LR, Pichler WJ (2001) Perforin and granzyme B may
contribute to skin inflammation in atopic dermatitis and psoriasis. Br J
Dermatol 144: 1133-1139.
- Seneviratne
SL, Jones L,King AS, BlackA, Powell S, McMichael AJ, et al. (2002)
Allergen-specific CD8+ T cells and atopic disease. J Clin Invest 110:
1283-1291.
- Kerstan
A, Leverkus M, Trautmann A (2009) Effector pathways during eczematous
dermatitis: where inflammation meets cell death. Exp Dermatol 18: 893-899.
- Yoshida
K, Kubo A, Fujita H, Yokouchi M, Ishii Ken, Kawasaki H, et al. (2014)
Distinct behavior of human Langerhans cells and inflammatory dendritic
epidermal cells at tight junctions in patients with atopic dermatitis. J
Allergy Clin Immunol 134: 856-864.
- Maeda
K, Yamamoto K, Tanaka Y, Anan S, Yoshida H (1992) House dust mite (HDM)
antigen in naturally occurring lesions of atopic dermatitis (AD): the
relationship between HDM antigen in the skin and HDM antigen-specific IgE
antibody. J Dermatol Sci 3: 73-77.
- Tanaka
Y, Tanaka M, Anan S, Yoshida H (1989) Immunohistochemical studies on dust
mite antigen in positive reaction site of patch test. Acta Derm Venereol
Suppl (Stockh) 144: 93-96.
QUICK LINKS
- SUBMIT MANUSCRIPT
- RECOMMEND THE JOURNAL
-
SUBSCRIBE FOR ALERTS
RELATED JOURNALS
- Journal of Alcoholism Clinical Research
- Journal of Forensic Research and Criminal Investigation (ISSN: 2640-0846)
- International Journal of Clinical Case Studies and Reports (ISSN:2641-5771)
- Ophthalmology Clinics and Research (ISSN:2638-115X)
- Journal of Cell Signaling & Damage-Associated Molecular Patterns
- Oncology Clinics and Research (ISSN: 2643-055X)
- Journal of Renal Transplantation Science (ISSN:2640-0847)








